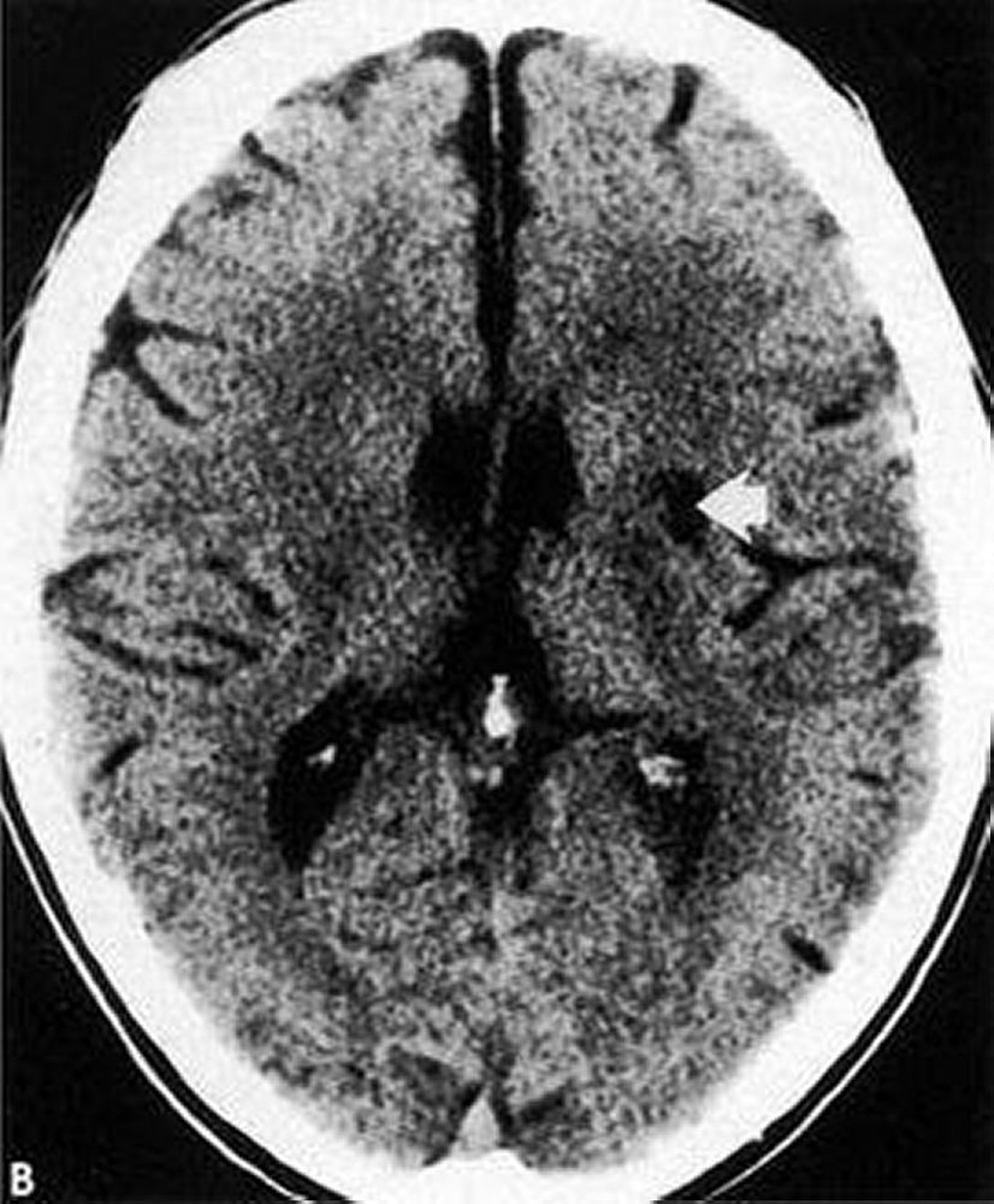
ラクナ梗塞
このCT画像では,基底核にラクナ梗塞による境界明瞭な低吸収域(矢印)がみられる。
By permission of the publisher.From Geremia G, Greenlee W.In Atlas of Cerebrovascular Disease.Edited by PB Gorelick and MA Sloan.Philadelphia, Current Medicine, 1996.
関連するトピック
このCT画像では,基底核にラクナ梗塞による境界明瞭な低吸収域(矢印)がみられる。
By permission of the publisher.From Geremia G, Greenlee W.In Atlas of Cerebrovascular Disease.Edited by PB Gorelick and MA Sloan.Philadelphia, Current Medicine, 1996.