honeypot link
skip to main content
プロフェッショナル版
家庭版
Msd マニュアル
プロフェッショナル版
医学事典
リソース
コラム
診察・手技ビデオ
クイズ
MSDマニュアルについて
医学事典
リソース
<
画像
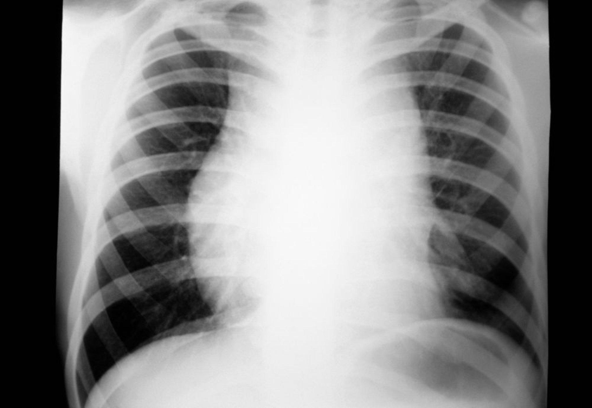
ホジキンリンパ腫(縦隔リンパ節腫脹)
縦隔リンパ節腫脹を示したホジキンリンパ腫患者の胸部X線写真である。
DR P.MARAZZI/SCIENCE PHOTO LIBRARY
関連するトピック
ホジキンリンパ腫
>