ツァンク試験
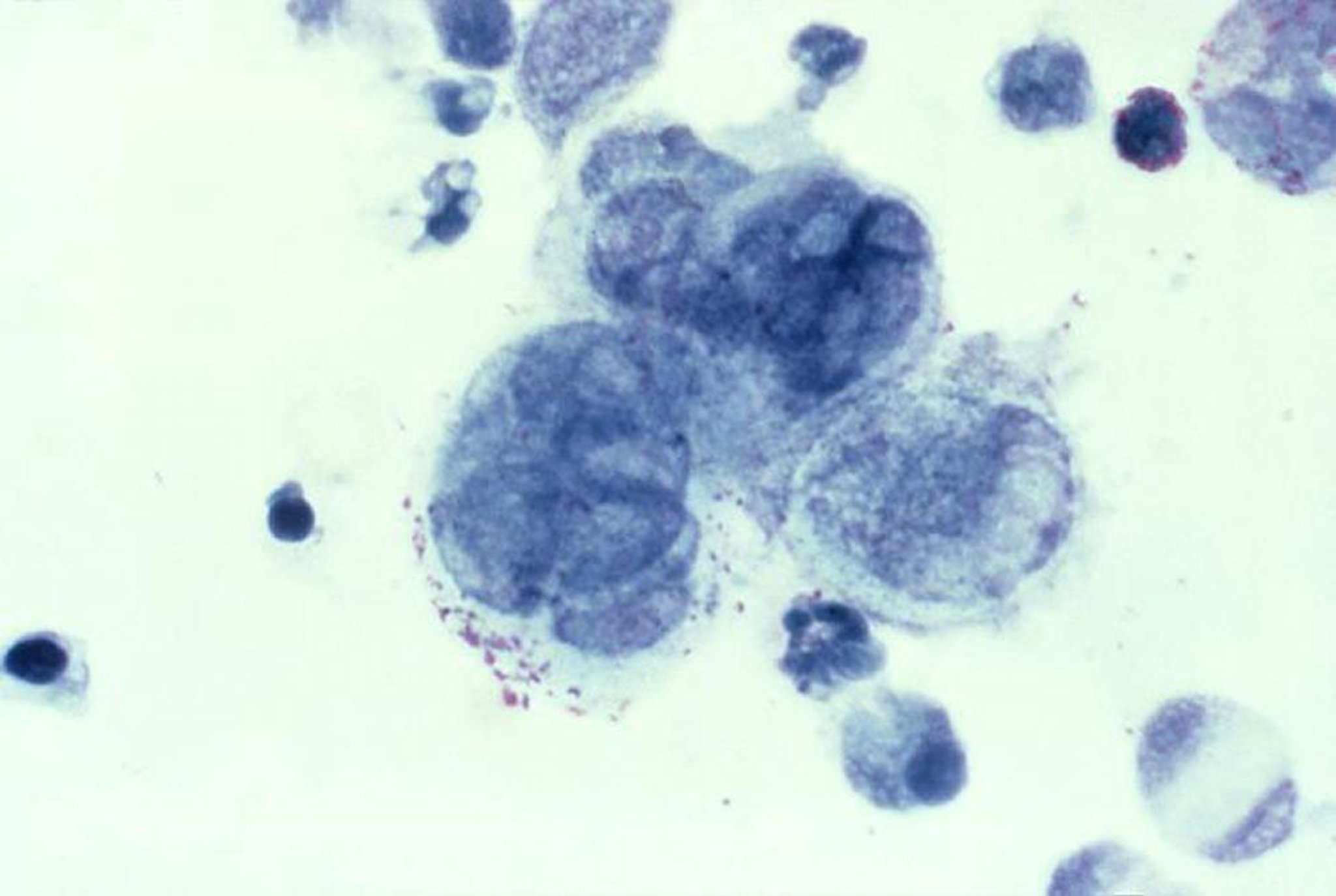
ツァンク試験では,メスで小水疱の底部および側面から擦過検体を採取し,得られた材料をライトまたはギムザ染色により染色する。多核巨細胞は単純ヘルペスあるいは帯状疱疹の徴候である。
Photo courtesy of Joe Miller via the Public Health Image Library of the Centers for Disease Control and Prevention.
関連するトピック
ツァンク試験では,メスで小水疱の底部および側面から擦過検体を採取し,得られた材料をライトまたはギムザ染色により染色する。多核巨細胞は単純ヘルペスあるいは帯状疱疹の徴候である。
Photo courtesy of Joe Miller via the Public Health Image Library of the Centers for Disease Control and Prevention.