honeypot link
skip to main content
プロフェッショナル版
家庭版
Msd マニュアル
プロフェッショナル版
医学事典
リソース
コラム
診察・手技ビデオ
クイズ
MSDマニュアルについて
医学事典
リソース
<
画像
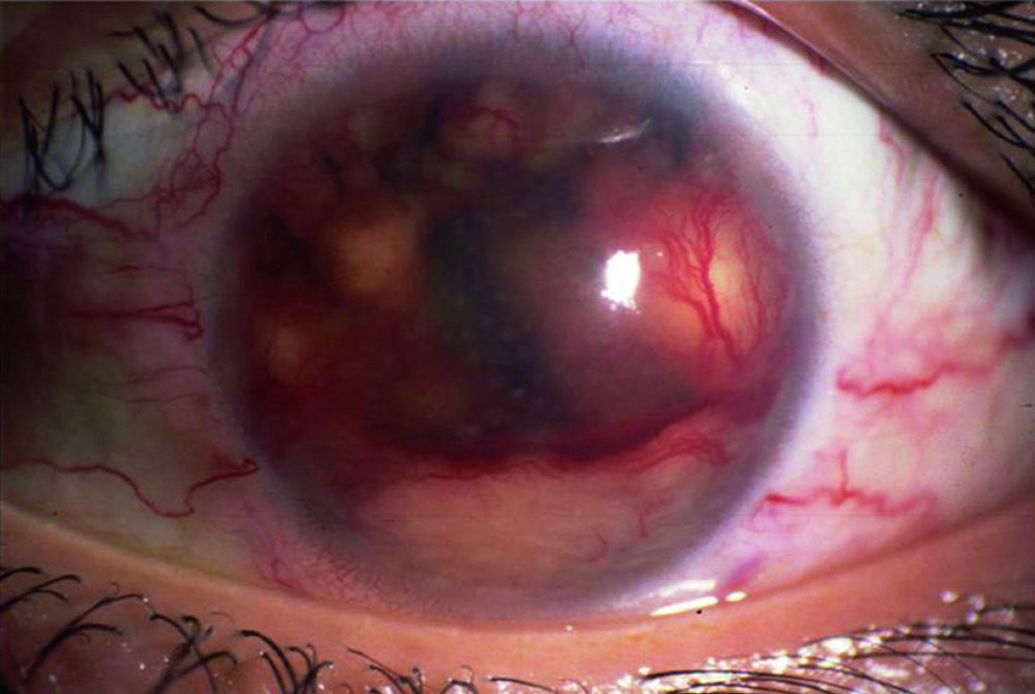
サルコイドーシス(虹彩肉芽腫)
この写真には,瞳孔縁の結節(Koeppe結節)とも呼ばれる虹彩肉芽腫(白い点に見える)が写っている。
© Springer Science+Business Media
関連するトピック
全身性リウマチ性疾患によるぶどう膜炎
>