honeypot link
skip to main content
プロフェッショナル版
家庭版
Msd マニュアル
プロフェッショナル版
医学事典
リソース
コラム
診察・手技ビデオ
クイズ
MSDマニュアルについて
医学事典
リソース
<
画像
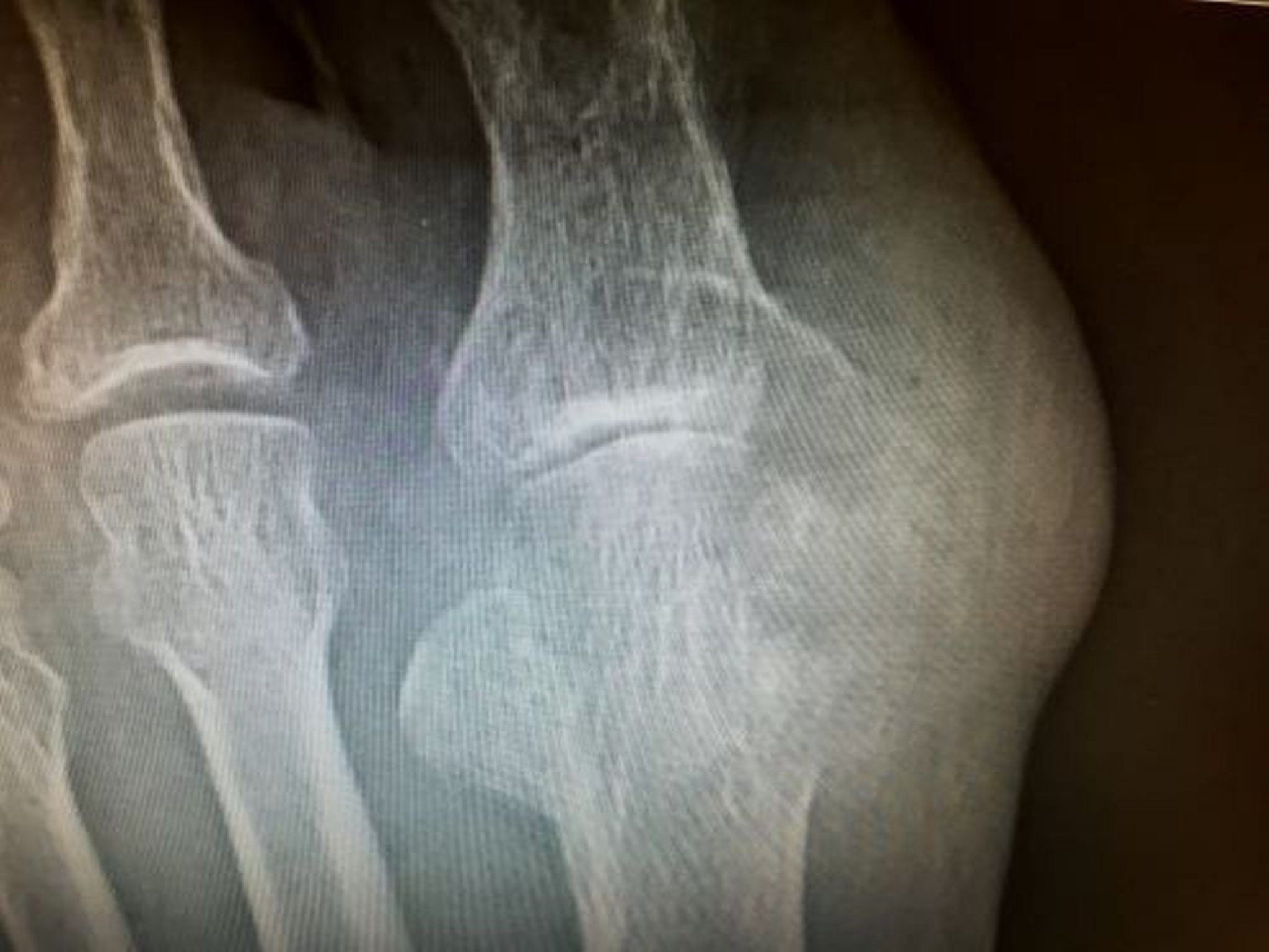
びらんを伴う痛風結節
この写真には,母趾の中足骨遠位部および基節骨を侵している痛風結節により生じた大きなびらんが写っている。
Image courtesy of N.Lawrence Edwards, MD.
関連するトピック
痛風
>