バーキットリンパ腫は,小児および成人にみられるB細胞性のアグレッシブ非ホジキンリンパ腫である。病型として風土病型,散発型,および免疫不全型がある。
古典的バーキットリンパ腫は,中央アフリカで風土病となっており,米国では小児リンパ腫の30%を占めている。アフリカに多い風土病型は,下顎または顔面骨の腫大として現れることが多い。
この写真には,バーキットリンパ腫患者の顎の大きな腫瘍が写っている。
M.A.ANSARY/SCIENCE PHOTO LIBRARY
散発型のバーキットリンパ腫では,腹部病変が優勢であり,しばしば回盲弁または腸間膜の領域から発生する。腫瘍により腸閉塞を来すことがある。脳やその他の実質臓器などの節外部位も侵されることがある。成人では,病変が巨大化および全身化することがあり,肝臓,脾臓,および骨髄に大きな病変ができることが多い。中枢神経系病変は,リンパ腫の診断時または再発時に認められることが多い。
免疫不全関連バーキットリンパ腫は,大半がヒト免疫不全ウイルス(HIV)感染症の患者に発生し,それより頻度は低いが,骨髄または臓器移植のレシピエントや,免疫不全の他の原因がある患者にも発生する。HIV感染患者では,バーキットリンパ腫はAIDS指標がんと考えられている。
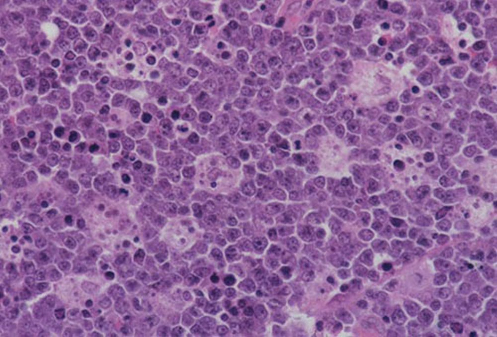
免疫能正常者の場合と同じように,バーキットリンパ腫では,多数の残屑を取り込んだマクロファージのためにstarry-sky像がみられる(急速な細胞回転を意味する)。腫瘍は,細胞分裂割合も高い。
By permission of the publisher. From Banks P, et al. In Atlas of Clinical Hematology. Edited by JO Armitage. Philadelphia, Current Medicine, 2004.Available at www.images.md.
バーキットリンパ腫は,ヒトに発生するものの中で最も増殖の速い腫瘍であり,病理学的検査では高い有糸分裂数とB細胞の単クローン性増殖のほか,良性のマクロファージがアポトーシスを起こした悪性リンパ球を取り込んで生じるstarry-sky像を認める。FDG(フルオロデオキシグルコース)-PETでは,腫瘍の代謝活性亢進がみられる。8番染色体上のc-MYC遺伝子と14番染色体の免疫グロブリン重鎖遺伝子を巻き込んだ特徴的な遺伝子転座がみられる。
風土病型にはエプスタイン-バーウイルス感染症との間に強い関連がみられるが,エプスタイン-バーウイルスが病因に関係しているかどうかは確定していない。
バーキットリンパ腫の診断
リンパ節または骨髄生検
まれに腹腔鏡検査
病理組織学的診断はリンパ節または別の疑わしい病変部位(骨髄など)の組織生検に基づく。まれに,診断および治療のいずれに対しても腹腔鏡検査が使用されることがある。
腫瘍の増殖が急速であるため,病期診断検査は迅速に行う必要がある。病期診断にはFDG-PET/CTによる腫瘍の画像検査が含まれるが,これが行えない場合は,代わりに胸部,腹部,および骨盤部のCTを施行してもよい。
さらに骨髄生検および髄液細胞診と,乳酸脱水素酵素(LDH)を含めた臨床検査も行うべきである。
バーキットリンパ腫の治療
強力な化学療法
この腫瘍は急速に増殖するため,治療を速やかに開始しなければならない。強力な交互療法レジメンであるCODOX-M/IVAC(シクロホスファミド,ビンクリスチン,ドキソルビシン,メトトレキサート,イホスファミド,エトポシド,およびシタラビン)にリツキシマブを追加する治療が,小児および60歳未満の成人に用いられ,成功を収めている(1)。特定の条件を満たす60歳未満の患者と60歳以上の多くの患者には,リツキシマブ + エトポシド,プレドニゾン,ビンクリスチン(Oncovin),ドキソルビシン(用量調整したR-EPOCH)などのレジメンも一般的に使用されて成功を収めている。中枢神経系進展がない患者には,中枢神経系予防(例,メトトレキサートおよび/またはシタラビンの全身および/または髄腔内投与)が必須である。
治療すると,腫瘍崩壊症候群がよくみられるため,輸液による補水,しばしばラスブリカーゼを併用するアロプリノールの投与,および尿のアルカリ化(高リン血症がない場合)を行うとともに,電解質(特にカリウム,リン,およびカルシウム)に細心の注意を払う必要がある。ラスブリカーゼは,G6PD欠乏症患者では溶血性貧血を引き起こすことがあるため,G6PD欠乏症の患者では禁忌である。一部の患者では,高カリウム血症に対して透析が必要になることがある。
腫瘍に起因する腸閉塞がみられるが,最初の診断-治療的な開腹手術で腫瘍が完全に切除された患者では,その後もまだ侵襲性の高い治療が適応となるが,サイクル数を減らす必要が生じる場合がある。治療終了時点で,PETによるcomplete metabolic responseか,CTおよび骨髄生検による完全奏効が確認されているはずである。
寛解導入が不成功に終わるか再発(典型的には12カ月以内)した患者は,予後不良である。サルベージ療法または臨床試験への参加を考慮すべきである。
治療に関する参考文献
1.Chamuleau MED, Stenner F, Chitu DA, et al.R-CODOX-M/R-IVAC versus DA-EPOCH-R in patients with newly diagnosed Burkitt lymphoma (HOVON/SAKK): final results of a multicentre, phase 3, open-label, randomised trial. Lancet Haematol 2023;10(12):e966-e975.doi:10.1016/S2352-3026(23)00279-X
より詳細な情報
医師向けの情報と患者向けの支援および情報を提供している英語資料を以下に示す。ただし,本マニュアルはこの資料の内容について責任を負わないことに留意されたい。
Leukemia & Lymphoma Society: Resources for Healthcare Professionals: provides educational resources for health care practitioners as well as information for patient referrals



