神経病性関節症

(神経障害性関節症;シャルコー関節;Charcot関節)

執筆者:Kinanah Yaseen, MD, Cleveland Clinic
レビュー/改訂 修正済み 2022年 11月
v29656934_ja
意見 同じトピックページ はこちら

神経病性関節症は,様々な基礎疾患(糖尿病および脳卒中が最も一般的)により生じうる,疼痛の知覚および位置感覚の障害による急速破壊型の関節障害である。一般的な症状としては,関節の腫脹,液貯留,変形,不安定性などがある。基礎にある神経障害のため,疼痛が不相応に軽度である場合がある。診断にはX線による確認が必要である。治療は,進行を遅らせ疼痛を軽減するための関節の外固定またはときに外科的固定で構成される。

神経病性関節症の病態生理

多くの病態が神経病性関節症の素因となる(神経病性関節症の基礎にある病態の表を参照)。深部痛覚または固有感覚の障害が関節の正常な防御反射に影響を与え,しばしば外傷(特に軽度の外傷の繰り返し)および関節周囲の小さな骨折が認識されないことがある。反射性血管拡張による骨への血流量の増加が,骨吸収を活発にし,骨および関節の損傷の一因となる。

関節に新たに損傷が生じるごとに,回復の際に引き起こされるひずみが大きくなる。出血性の関節液貯留および複数の小さな骨折が生じることがあり,疾患の進行を加速する。靱帯の弛緩,筋緊張低下,および関節軟骨の急速な破壊がよくみられ,関節脱臼(これも疾患の進行を加速する)が生じやすくなる。進行した神経病性関節症は,肥大性変化,破壊性変化,またはそれらの両方を引き起こすことがある。

表&コラム
表&コラム

神経病性関節症の症状と徴候

関節症は通常は神経疾患の発症から何年も後に初めて発生するが,その後は急速に進行して数カ月で関節の完全な破壊に至ることがある。疼痛がよくみられる初期症状である。しかし,疼痛を感知する能力が損なわれる頻度が高いため,関節損傷の程度に対して疼痛の程度が予想外に軽度であることが多い。初期には,しばしば出血性である顕著な液貯留,ならびに関節の亜脱臼および不安定性が通常みられる。ときに急性の関節脱臼も起こる。

後期には,急速な関節破壊(例,関節周囲骨折または緊満した血腫)が引き起こされている場合,疼痛がより重度であることもある。進行期では,骨の過成長および多量の関節液貯留のために関節が腫脹する。脱臼および転位骨折に起因して変形が生じる。骨折および骨の治癒によって軟骨または骨の遊離体が多数生じることがあり,それらは関節内に脱落して,ざらざらした耳障りな,しばしば聞き取れるクレピタス(捻髪音)(通常は患者以上に観察者にとって不快)を生じることがある。

侵されることがある関節は多いが,膝関節および足関節が侵されることが最も多い。分布は基礎疾患に大きく依存する。例えば,脊髄癆では膝関節および股関節が侵され,糖尿病では足および足関節が侵される。脊髄空洞症では一般的に脊椎および上肢関節(特に肘関節および肩関節)が侵される。しばしば,1つの関節のみが非対称性に侵され,通常2つまたは3つより多くの関節が侵されることはない(足の小関節を除く)。

全身症状(例,発熱,倦怠感)を伴うまたは伴わない感染性関節炎が発生することがあり,特に糖尿病に伴うことが多く,本疾患を強く疑う必要がある。組織の過成長により,血管,神経,脊髄などの構造が圧迫されることがある。

神経病性関節症の診断

  • X線

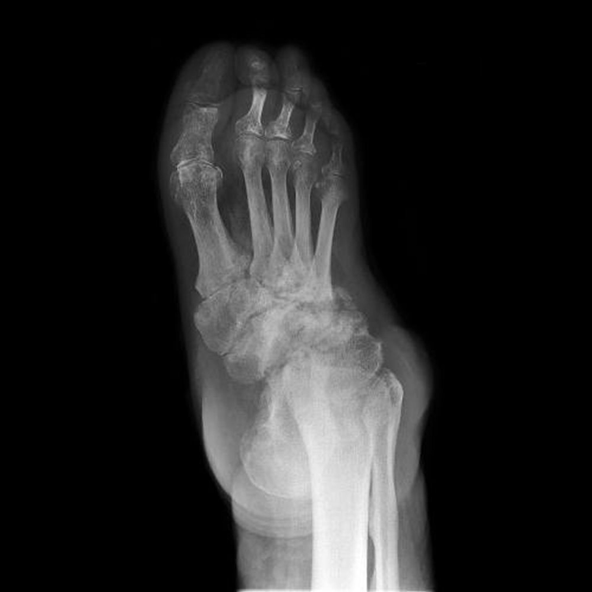
素因となる神経疾患のある患者で,通常は基礎にある神経疾患の発症から数年後に,破壊性であるが想定外に疼痛の少ない関節症を発症した場合,神経病性関節症の診断を考慮すべきである。神経病性関節症が疑われる場合,X線撮影を行うべきである。素因となる疾患ならびに典型的な症状および徴候のある患者で,特徴的なX線上の異常がみられれば診断が確定する。

早期の神経病性関節症におけるX線上の異常は,変形性関節症における異常と類似していることが多い(変形性関節症の診断を参照)。進行後期にみられる主要な徴候は以下のものである:

  • 骨の断片化

  • 骨破壊

  • 新たな骨増殖

  • 関節裂隙の狭小化

関節液貯留および関節の亜脱臼がみられることもある。骨が変形することがあり,また皮質に隣接して新たな骨が形成される(関節包内に始まり,しばしば骨幹[特に長管骨]に進展する)。まれに,軟部組織で石灰化および骨化が起こる。異様な形状の大きな骨棘が関節縁または関節内にみられることがある。弯曲した大きな(オウムの嘴)骨棘が,臨床的な脊椎疾患なしに,脊椎にしばしば発症する。

初期の段階では,神経病性関節症は変形性関節症に類似していることがある。しかし,神経病性関節症は変形性関節症よりも急速に進行し,それに比べて生じる疼痛が少ないことが多い。

神経病性関節症の治療

  • 原因の治療

  • ときに外科手術

基礎にある神経疾患を治療することで,関節症の進行を遅らせられることがあり,関節破壊がまだ早期段階であれば,そのプロセスが部分的に回復することがある。

無症状または症状がごくわずかな骨折を早期に診断すれば,初期治療が容易になる;固定(副子,特製ブーツ,または下肢装具による)によりさらなる関節損傷を予防でき,疾患の進行を止められる可能性もある。固定により,リスクのある患者で神経病性関節症を予防できることもある。

著しく破壊された関節に対し,内固定,圧迫,および十分な骨移植を用いた関節固定術が成功することがある。著しく破壊された股関節および膝関節において,神経病性関節症が進行性であると予想されない場合,人工股関節全置換術および人工膝関節全置換術により良好な結果が得られる可能性がある。しかし,人工関節の緩みおよび脱臼が重大なリスクである。

要点

  • 神経病性関節症は,疼痛の知覚および位置感覚が損なわれた場合(例,糖尿病または脳卒中による)に生じる急速破壊型の関節障害である。

  • 疼痛と不釣り合いな関節破壊が典型的であり,進行期では急速に進行する関節の破壊を伴うことが多い。

  • 素因となる神経疾患を有する患者において,疼痛と釣り合わない関節破壊(初期では変形性関節症でみられる変化と類似)のX線所見により診断を確定する。

  • 可能な場合は原因を治療し,物理的手段(例,固定)によりさらなる損傷から関節を保護する。

  • 適切な場合には,患者に手術を勧める。

Test your Knowledge
Test your KnowledgeTake a Quiz!
医学事典MSDマニュアル モバイルアプリ版はこちら!ANDROID iOS
医学事典MSDマニュアル モバイルアプリ版はこちら!ANDROID iOS
医学事典MSDマニュアル モバイルアプリ版はこちら!ANDROID iOS