巣状分節性糸球体硬化症は,点在する(分節性の)メサンギウム硬化症で,糸球体の全体ではなく一部において(巣状に)始まり,最終的に全ての糸球体が罹患する。同疾患は,大半が特発性であるが,ヘロインまたは他の薬物の使用,HIV感染,肥満,鎌状赤血球症,アテローム塞栓症,ネフロン喪失(例,逆流性腎症,腎亜全摘,または腎形成異常)に続発する場合がある。主に青年に発生するが,若年成人および中年成人にも発生する。患者はタンパク尿,軽度の血尿,高血圧,高窒素血症を潜行性に発症する。診断は腎生検によって確定される。治療はアンジオテンシン阻害のほか,特発性疾患ではコルチコステロイドや,ときにその他の免疫抑制薬による。
巣状分節性糸球体硬化症(FSGS)は,現在米国の成人における特発性(または原発性)ネフローゼ症候群の最も一般的な原因である。特に黒人男性に多い。FSGSは通常は特発性であるが,その他の因子との関連でも発生する可能性があり(続発性FSGS),具体的には薬剤および違法薬物(例,ヘロイン,リチウム,インターフェロンα,パミドロン酸,シクロスポリン,非ステロイド系抗炎症薬[鎮痛薬腎症を引き起こす])や,腎臓に影響を及ぼすアテローム塞栓性疾患,肥満,HIV感染(HIV関連腎症を参照),ネフロン喪失をもたらす疾患(例,逆流性腎症,腎亜全摘,腎形成異常[例,寡巨大糸球体症:ネフロン数の少ない腎低形成])などがある。家族性症例が存在する。
FSGSでは,サイズおよび分子の電荷による糸球体濾過障壁が障害されており,タンパク尿は典型的には非選択的であり,アルブミンのみならず高分子タンパク質(例,免疫グロブリン)も影響を受ける。腎臓は小さい傾向がある。
巣状分節性糸球体硬化症の症状と徴候
巣状分節性糸球体硬化症(FSGS)患者は一般的に重度のタンパク尿,高血圧,腎機能障害,浮腫,またはその合併を呈する。ときに,ネフローゼレベルには達しない無症候性のタンパク尿が唯一の徴候のことがある。顕微鏡的血尿がときに認められる。
巣状分節性糸球体硬化症の診断
腎生検を施行し,可能な場合は免疫染色法および電子顕微鏡を用いる
ネフローゼ症候群,タンパク尿,腎機能障害のいずれかを呈し,明らかな原因が認められない患者,特に巣状分節性糸球体硬化症(FSGS)と関連する疾患または違法薬物もしくは薬剤使用が認められる患者では,FSGSを疑う。
尿検査を行い,血中尿素窒素(BUN)値,血清クレアチニン値,および24時間尿タンパク排泄量またはスポット尿のタンパク:クレアチニン比を測定する。
診断は腎生検によって確定され,生検では糸球体に巣状および分節性の硝子化が示され,免疫染色によってしばしばIgMと補体(C3)の沈着が結節状の粗大な顆粒状パターンで示される。特発性の症例では,電子顕微鏡下でびまん性の足突起の消失を認めるが,続発性の症例では,斑状の足突起消失を認めることがある。全節性硬化が,続発した糸球体萎縮とともに視認できることがある。生検では,巣状の異常領域が採取されなかった場合,偽陰性となることがある。
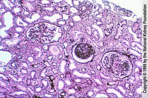
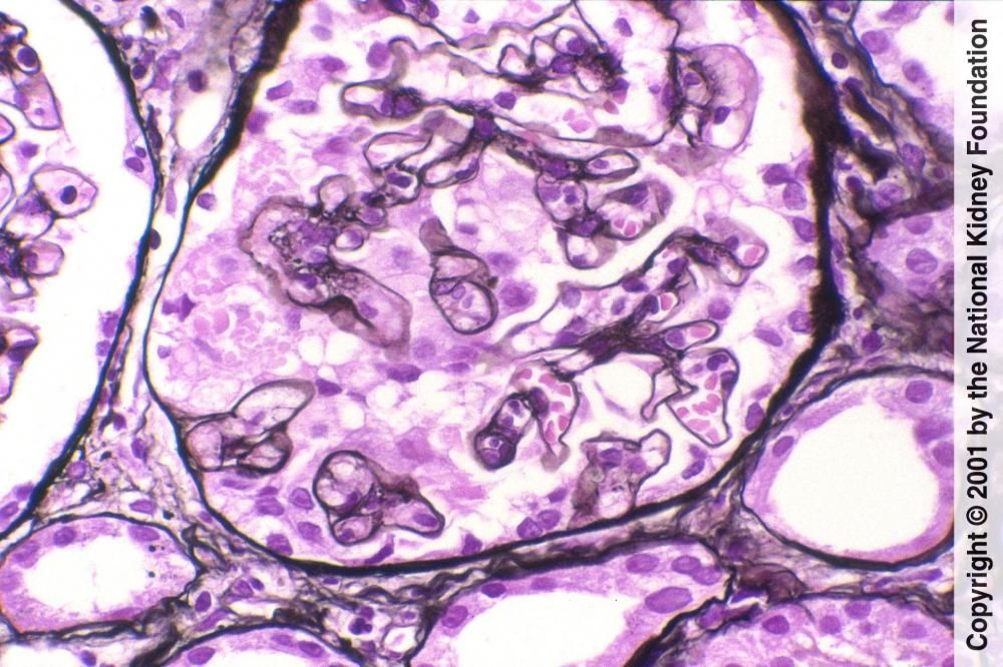
上の画像は糸球体の右側を示している。糸球体は分節性に硬化しており,内腔が消失した毛細血管および増加したメサンギウム基質で構成されている。残りの糸球体は正常である(PAM染色,400倍)。下の画像では,滑らかな硝子様物質と定義されるヒアリンが,血漿タンパク質の壁内滲出(壁外への滲出の逆)によりもたらされている。これは高頻度に発生し,診断に有用ではない(PAM染色,400倍)。
上の画像は糸球体の右側を示している。糸球体は分節性に硬化しており,内腔が消失した毛細血管および増加したメサンギウム基質で構成されている。残りの糸球体は正常である(PAM染色,400倍)。下の画像では,滑らかな硝子様物質と定義されるヒアリン
Image provided by Agnes Fogo, MD, and the American Journal of Kidney Diseases' Atlas of Renal Pathology (see www.ajkd.org).
抗IgM抗体による蛍光抗体染色で,メサンギウム領域または硝子様変性領域でのIgMを示している(右側の滑らかな球状染色)。IgMは拡大したメサンギウムおよび硬化領域に捕捉されたと考えられる(200倍)。
抗IgM抗体による蛍光抗体染色で,メサンギウム領域または硝子様変性領域でのIgMを示している(右側の滑らかな球状染色)。IgMは拡大したメサンギウムおよび硬化領域に捕捉されたと考えられる(200倍)。
Image provided by Agnes Fogo, MD, and the American Journal of Kidney Diseases' Atlas of Renal Pathology (see www.ajkd.org).
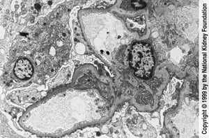
透過型電子顕微鏡下で足突起の広範な鈍化および消失が認められる(3000倍)。
透過型電子顕微鏡下で足突起の広範な鈍化および消失が認められる(3000倍)。
Image provided by Agnes Fogo, MD, and the American Journal of Kidney Diseases' Atlas of Renal Pathology (see www.ajkd.org).
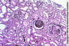
この生検検体の中央の糸球体は全節性硬化を示している。この所見は非特異的であり,損傷や加齢への反応として生じることがある(PAM染色,100倍)。
この生検検体の中央の糸球体は全節性硬化を示している。この所見は非特異的であり,損傷や加齢への反応として生じることがある(PAM染色,100倍)。
Image provided by Agnes Fogo, MD, and the American Journal of Kidney Diseases' Atlas of Renal Pathology (see www.ajkd.org).
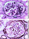
尖端病変(tip lesion)は,尿細管の起点である糸球体極に限定された分節性硬化である。予後改善のマーカーである可能性がある(PAM染色,200倍)。
尖端病変(tip lesion)は,尿細管の起点である糸球体極に限定された分節性硬化である。予後改善のマーカーである可能性がある(PAM染色,200倍)。
Image provided by Agnes Fogo, MD, and the American Journal of Kidney Diseases' Atlas of Renal Pathology (see www.ajkd.org).
巣状分節性糸球体硬化症の治療
アンジオテンシン阻害
特発性FSGSに対してコルチコステロイドのほか,ときにその他の免疫抑制薬
末期腎不全患者に対して腎移植
治療はしばしば効果的ではない。FSGS患者は,血管性浮腫または高カリウム血症により禁忌でない限り,アンジオテンシン阻害(アンジオテンシン変換酵素[ACE]阻害薬またはアンジオテンシンII受容体拮抗薬[ARB])により治療すべきである。ネフローゼ症候群患者はスタチンで治療すべきである。
特発性FSGSでは,タンパク尿がネフローゼレベルに達するか,腎機能が増悪した場合,特に腎生検で尖端病変が判明した場合は,免疫抑制療法の試験的実施の適応となる。一方,腎生検で続発性FSGS,虚脱型FSGS,または進行した尿細管間質線維化と診断された患者は,免疫抑制療法に反応しない傾向があるため,一般に免疫抑制療法による治療は行われず,代わりに原疾患に対する治療が行われる。
免疫抑制療法
高用量コルチコステロイド(例,プレドニゾン1mg/kg,経口,1日1回または2mg/kg,隔日)を少なくとも2カ月投与することが推奨されるが,最長9カ月間の使用を推奨する専門家もいる。長期治療での反応率は30~50%と報告されており,FSGSの組織学的分類によって異なる。タンパク尿が2週間寛解した後,コルチコステロイドを2カ月以上かけて緩徐に漸減する。続発性および家族性症例,虚脱型FSGS,進行した尿細管間質線維化は,コルチコステロイド抵抗性の可能性が高い。
コルチコステロイド療法でわずかな改善しかみられないか再発した場合は,6カ月以上のカルシニューリン阻害薬(例,シクロスポリンまたはタクロリムス)投与による寛解導入を試みてもよい。FSGSに対してはタクロリムスよりもカルシニューリン阻害薬の方がよく研究されているが,タクロリムスは他の糸球体疾患にも一般的に使用されており,審美的な副作用(例,男性型多毛症,歯肉増殖症)のリスクが低いことから,タクロリムスを好んで選択する医師もいる。選択された症例では,代替薬としてミコフェノール酸モフェチルを使用してもよい。
高用量コルチコステロイドの禁忌(例,糖尿病,骨粗鬆症)がある患者では,カルシニューリン阻害薬と低用量コルチコステロイド(例,プレドニゾン0.15mg/kg,経口,1日1回)を併用することができる。
代替療法として,血漿交換と免疫抑制の併用がある。
巣状分節性糸球体硬化症の予後
予後は不良である。自然寛解が起こるのは患者の10%未満である。10年以内に半数を超える患者が腎不全となり,20%では治療にもかかわらず2年以内に末期腎不全を呈するが,有意な尿細管間質線維化がある場合には,その可能性がより高くなる。本疾患は成人の方が小児よりも進行が急速である。
分節性硬化が尿細管の起点である糸球体の尿細管極に一貫して存在する場合は(尖端病変[tip lesion]),コルチコステロイド療法に対する反応がより良好であることを予測できる。もう1つの亜型では,毛細管壁に皺または虚脱が認められ(虚脱型FSGS,典型的には静脈内投与の薬物乱用またはHIV感染と関連),疾患がより重症で腎不全への急速な進行が示唆される。妊娠によりFSGSが増悪することがある。
FSGSは腎移植後に再発する場合があり,タンパク尿はときには腎移植から数時間以内に再発する。FSGSに起因する末期腎不全に対して移植術を施行された患者のうち,約8~30%はFSGSの再発のため移植腎を喪失し,そのリスクが最も高い患者は,幼児,黒人以外の患者,疾患発生から3年未満で腎不全を発症した患者,メサンギウム増殖を有する患者,初回の移植術前の診断が原発性FSGSで移植術が繰り返された患者である。家族性FSGSでは,移植後の再発はまれである。
Image provided by Agnes Fogo, MD, and the American Journal of Kidney Diseases' Atlas of Renal Pathology (see www.ajkd.org).
FSGSに起因するネフローゼ症候群を発症したヘロイン使用者では,本疾患の早期にヘロイン使用を中止した場合,完全寛解が得られる可能性がある。
要点
ネフローゼ症候群,タンパク尿,腎機能障害のいずれかを呈し,顕著な原因が認められない患者,特に巣状分節性糸球体硬化症と関連する疾患または違法薬物もしくは薬剤使用が認められる患者では,FSGSを疑う。
可能な場合は,腎生検に免疫染色法および電子顕微鏡を用いてFSGSを確定する。
FSGSが特発性で,タンパク尿がネフローゼレベルに達するか腎機能が増悪する場合は,コルチコステロイドによる治療および可能性としてカルシニューリン阻害薬(例,シクロスポリンまたはタクロリムス)または代替薬としてミコフェノール酸モフェチルによる治療を考慮する。
