免疫グロブリンA(IgA)腎症は,糸球体にIgA免疫複合体が沈着する病態であり,臨床的には緩徐に進行する血尿およびタンパク尿のほか,しばしば腎機能不全を生じる。診断は尿検査と腎生検に基づく。治療選択肢としては,アンジオテンシン変換酵素(ACE)阻害薬,アンジオテンシンII受容体拮抗薬(ARB),コルチコステロイド,ときにその他の免疫抑制薬などがある。予後は一般に良好である。
(腎炎症候群の概要も参照のこと。)
IgA腎症は腎炎症候群であり,糸球体へのIgA免疫複合体の沈着を特徴とする慢性糸球体腎炎の一病型である。世界的に最も頻度の高い病型の糸球体腎炎である。いずれの年齢層でも起こり,発症のピークは10代から20代であり,発生率は女性より男性で2~6倍高く,黒人と比較して白人およびアジア人に多い。IgA腎沈着の有病率は米国で5%,南欧とオーストラリアで10~20%,アジアで30~40%と推定される。しかしながら,IgA沈着がみられる人々の一部は臨床的な疾患を発症しない。
原因は不明であるが,以下のような複数の機序が存在する可能性がエビデンスから示唆されている:
IgA1産生の増加
IgA1グリコシル化の欠陥によるメサンギウム細胞への結合の増加
IgA1クリアランスの低下
粘膜免疫系の欠陥
メサンギウム細胞の増殖を促進するサイトカインの過剰産生
家族内集積性もまた認められ,少なくとも一部の症例における遺伝因子が示唆される。
腎機能は初期においては正常であるが,症候性腎疾患が発生する場合がある。少数の患者で急性腎障害,慢性腎臓病,重度の高血圧,ネフローゼ症候群が認められる。
IgA腎症の症状と徴候
最も頻度の高い臨床像は,持続性もしくは再発性の肉眼的血尿または軽度のタンパク尿を伴う無症候性の顕微鏡的血尿である。側腹部痛および微熱が急性エピソードに伴うことがある。その他の症状は通常顕著ではない。
肉眼的血尿は,通常発熱を伴う粘膜疾患(上気道,副鼻腔,腸管)の1日後または2日後に始まり,血尿の出現が早いこと(発熱と同時またはその直後)を除けば,急性感染後糸球体腎炎に類似する。これが上気道疾患とともに起こる場合,synpharyngitic hematuriaと呼ばれることもある。
患者の約10%未満で,最初の臨床像は急速進行性糸球体腎炎となる。
IgA腎症の診断
尿検査
腎生検
診断は以下のいずれかにより示唆される:
肉眼的血尿,特に発熱を伴う粘膜疾患から2日以内または側腹部痛を伴う場合
尿検査により偶然見つかった所見
ときに,急速進行性糸球体腎炎
臨床像が中等度から重度である場合,診断は生検により確定される。
尿検査では顕微鏡的血尿が示され,通常は変形赤血球およびときに赤血球円柱を伴う。軽度のタンパク尿(1g/日未満)が典型的で,血尿を伴わない場合があり,ネフローゼ症候群が患者の20%以下で発生する。血清クレアチニン値は通常正常である。
Image provided by Agnes Fogo, MD, and the American Journal of Kidney Diseases' Atlas of Renal Pathology (see www.ajkd.org).
Image provided by Agnes Fogo, MD, and the American Journal of Kidney Diseases' Atlas of Renal Pathology (see www.ajkd.org).
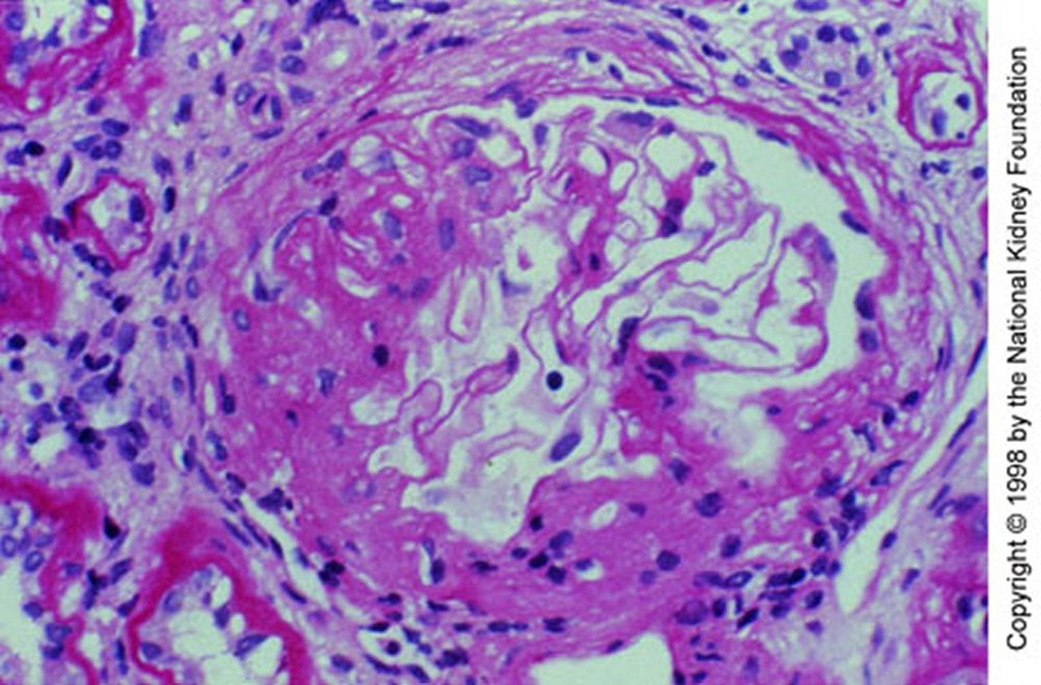
腎生検では,巣状の分節性増殖性病変または壊死性病変を伴う拡大したメサンギウム領域内に,IgAと補体(C3)の顆粒状沈着が蛍光抗体染色法で示される。重要な点として,メサンギウム領域のIgA沈着は非特異的であり,他の多くの疾患でも起こり,具体的にはIgA血管炎,肝硬変,炎症性腸疾患,セリアック病,乾癬,HIV感染症,肺癌,いくつかの全身性リウマチ性疾患などがある。
糸球体のIgA沈着はIgA血管炎の主要な特徴であり,生検ではIgA腎症との鑑別が不可能な場合もあることから,IgA血管炎はIgA腎症の全身性の病型ではないかとの疑いがもたれている。しかしながら,IgA血管炎は臨床的にIgA腎症と異なり,通常は血尿,紫斑状の発疹,関節痛,および腹痛を呈する。
その他の血清免疫学的検査は通常は必要ない。補体価は通常正常である。血漿IgA濃度は上昇する場合があり,循環血中にIgAフィブロネクチン複合体が認められるが,これらの所見は診断の助けにならない。
IgA腎症の治療
高血圧,血清クレアチニン値1.2mg/dL(106.08μmol/L)超,または顕性アルブミン尿(尿タンパク300mg/日超),そして目標尿タンパクが500mg/日未満の場合には,しばしばアンジオテンシン変換酵素(ACE)阻害薬またはアンジオテンシンII受容体拮抗薬(ARB)
アンジオテンシン阻害にもかかわらず持続するタンパク尿に対してナトリウム・グルコース共輸送体2(SGLT2)阻害薬が追加されることがある
タンパク尿の増強(特にネフローゼレベル)や血清クレアチニン値の上昇を含む進行性疾患に対するコルチコステロイド
増殖性の傷害または急速進行性糸球体腎炎に対するコルチコステロイドおよびシクロホスファミド
進行例では移植
血圧は正常で腎機能にも異常がなく(血清クレアチニン1.2mg/dL[106.08μmol/L]未満),軽度のタンパク尿(0.5g/日未満)のみを呈する患者には,通常,アンジオテンシン阻害(ACE阻害薬またはARBによる)およびSGLT2阻害薬以外の治療は行わない。腎機能不全やより重度のタンパク尿および血尿がみられる患者には,通常はコルチコステロイドを投与するが,理想的には有意な腎機能不全が生じる前に開始すべきである。
IgA腎症におけるアンジオテンシン阻害
ACE阻害薬またはARBは,血圧およびタンパク尿を低下させ,糸球体線維症を軽減させるという仮定の下に使用されている。ACE遺伝子がDD遺伝子型を有する患者は疾患の進行リスクが高いと考えられるが,ACE阻害薬またはARBに反応する可能性も高いと考えられる。高血圧患者では,たとえ慢性腎臓病が比較的軽度であっても,ACE阻害薬またはARBが第1選択の降圧薬である。
ナトリウム・グルコース共輸送体2阻害薬
IgA腎症におけるコルチコステロイドおよび免疫抑制薬
進行リスクが高い患者(すなわち,1g/日以上のタンパク尿,3カ月以上の支持療法後の推算糸球体濾過量[eGFR]が20~120mL/min/1.73m2)では,コルチコステロイドが腎不全への進行を遅らせることが示されている(2)。より高用量のコルチコステロイドレジメンには,より重篤な有害事象(例,入院を要する感染症)との関連がみられる。
至適なコルチコステロイドレジメンについて専門家間でコンセンサスは得られていない。あるプロトコルでは,メチルプレドニゾロン1g,静注,1日1回,3日間の投与を1,3,5カ月目の最初に行い,加えてプレドニゾンを0.5mg/kg,経口,隔日で6カ月間投与する。別のレジメンでは,プレドニゾンを1mg/kg,経口,1日1回で開始し,6カ月間かけて漸減する。
有害作用のリスクのため,おそらくコルチコステロイドは以下の患者にのみ使用すべきである:
増悪または持続するタンパク尿(1g/日超),特にACE阻害薬またはARBの最大用量による治療にもかかわらずネフローゼレベルの場合
血清クレアチニン値の上昇
コルチコステロイドおよびシクロホスファミドの静脈内投与と経口プレドニゾンの併用が,増殖性または半月体形成性(急速進行性)腎症などの重度の疾患に対して使用される。ミコフェノール酸モフェチルに関するエビデンスは矛盾しており,第1選択の治療として使用すべきではない。しかしながら,これらの薬剤はいずれも移植患者における再発を予防しない。進行した線維性腎疾患は不可逆的であり,これらの患者では免疫抑制療法は避けるべきである。
その他の治療法
IgA過剰産生を低下させ,メサンギウム増殖を阻害するためのその他の介入が試みられているが,それらのいずれについても支持するデータは限られているか存在せず,いずれもルーチンの治療として推奨することはできない。そのような介入としては,グルテン,乳製品,卵,および肉を排除した食事,扁桃摘出術,免疫グロブリン投与(1g/kg,静注,2日/月,3カ月間に続いて0.35mL/kg[16.5%溶液],筋注,2週毎,6カ月間)などがあり,いずれも理論的にはIgA産生を減少させる。in vitroでのメサンギウム細胞阻害薬の例をわずかだけ挙げるなら,ヘパリン,ジピリダモール,スタチン系薬剤がある。
末期腎不全に進行する患者では,透析よりも腎移植の方が長期無病生存率が良好であることから望ましい。移植片レシピエントの約30%で病態が再発する(3)。
治療に関する参考文献
1.Wheeler DC, Toto RD, Stefánsson BV, et al: A pre-specified analysis of the DAPA-CKD trial demonstrates the effects of dapagliflozin on major adverse kidney events in patients with IgA nephropathy. Kidney Int 100(1):215-224, 2021. doi: 10.1016/j.kint.2021.03.033
2.Lv J, Wong MG, Hladunewich MA, et al: Effect of oral methylprednisolone on decline in kidney function or kidney failure in patients with IgA nephropathy: The TESTING randomized clinical trial.JAMA 327(19):1888-1898, 2022. doi: 10.1001/jama.2022.5368
3.Jäger C, Stampf S, Molyneux K, et al: Recurrence of IgA nephropathy after kidney transplantation: Experience from the Swiss transplant cohort study.BMC Nephrol 23(1):178, 2022. doi: 10.1186/s12882-022-02802-x
IgA腎症の予後
IgA腎症は通常緩徐に進行し,15~20%の患者で10年以内に腎機能不全および高血圧が発生する。末期腎不全への進行は20年後に患者の25%で起こる。IgA腎症が小児期に診断された場合,予後は通常良好である。しかしながら,持続性の血尿は常に高血圧,タンパク尿および腎機能不全をもたらす。腎機能の進行性増悪の危険因子としては以下のものがある:
タンパク尿が1g/日を超える
血清クレアチニン値上昇
コントロール不良の高血圧
持続性顕微鏡的血尿
糸球体または間質の広範な線維性変性
生検での半月体
要点
IgA腎症は糸球体腎炎の原因として世界的に最も頻度が高く,若年成人と白人およびアジア人でよくみられる。
原因不明の糸球体腎炎の徴候を示す患者,特に発熱を伴う粘膜疾患から2日以内の発生または側腹部痛を伴う患者では,本症を考慮する。
クレアチニン値1.2mg/dL(106.08μmol/L)超,またはタンパク尿300mg/日超の患者は,ACE阻害薬またはARBの後,タンパク尿が持続する場合はSGLT2阻害薬で治療する。
ACE阻害薬またはARBに加えてSGLT2阻害薬を用いた治療にもかかわらず腎機能またはタンパク尿が悪化する(1g/日超)患者に対してのみコルチコステロイドを用いる。
増殖性の傷害または急速進行性糸球体腎炎の患者は,コルチコステロイドおよびシクロホスファミドで治療する。
