honeypot link
skip to main content
プロフェッショナル版
家庭版
Msd マニュアル
家庭版
病気を調べる
症状から調べる
救命・応急手当
やさしくわかる病気事典
リソース
コラム
MSDマニュアルについて
病気を調べる
症状から調べる
<
画像
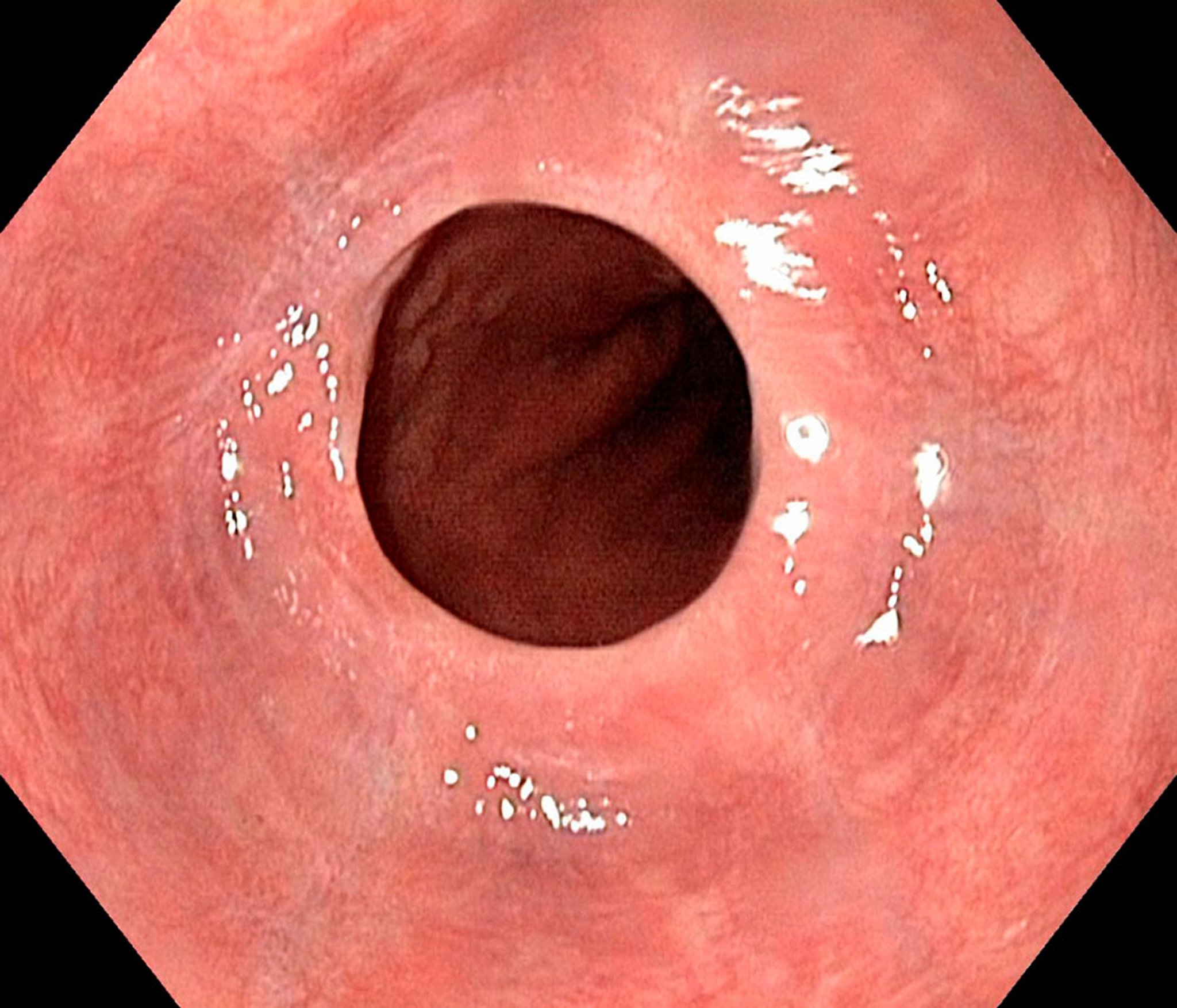
食道ウェブ
この写真には、食道の開口部の一部を部分的に覆っている薄い膜が写っています。
GASTROLAB/SCIENCE PHOTO LIBRARY
関連するトピック
食道ウェブ
>