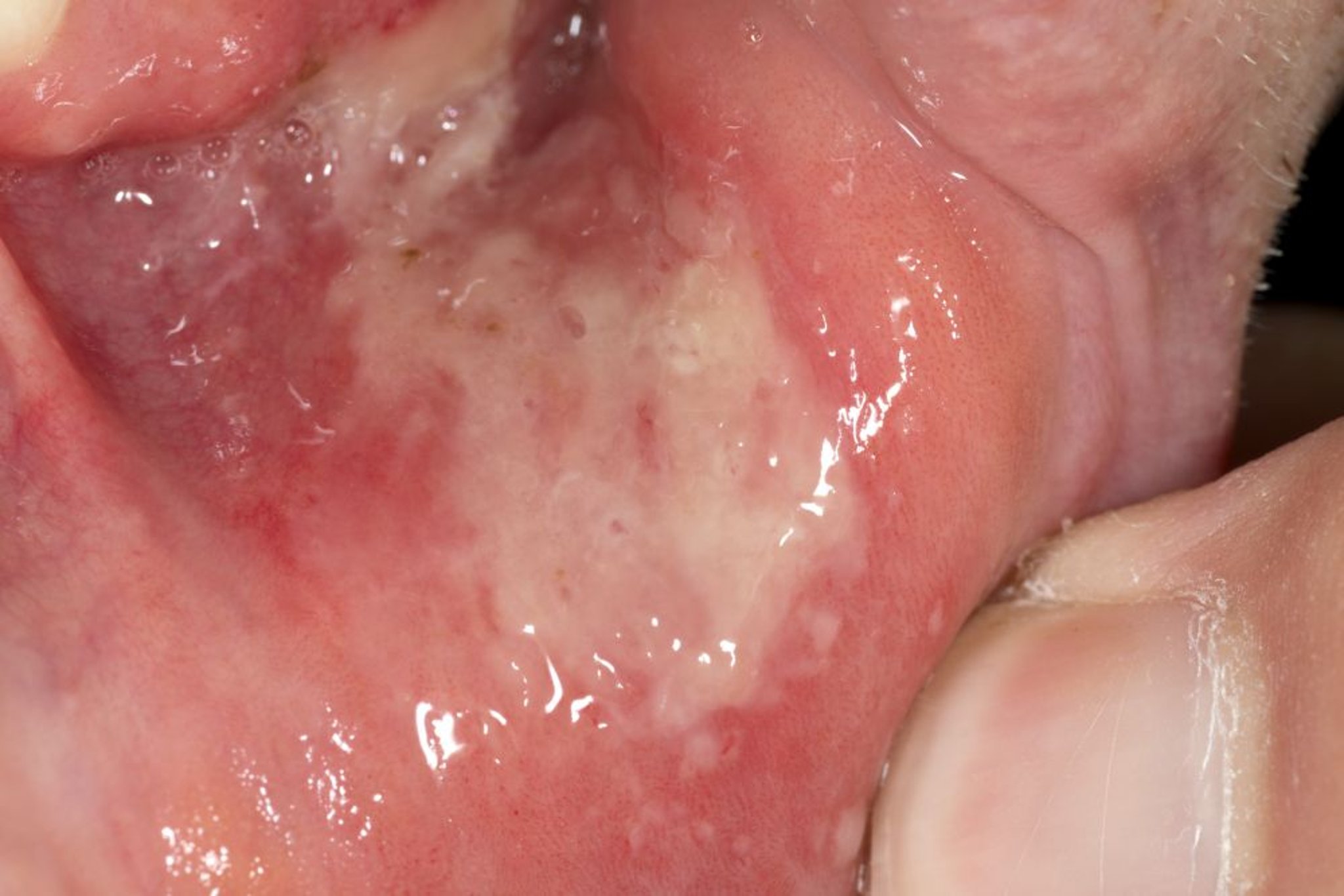
Ulcera aftosa maggiore
Questa foto mostra un'afta maggiore (area biancastra) all'interno del labbro.
DR P. MARAZZI/SCIENCE PHOTO LIBRARY
In questi argomenti
Questa foto mostra un'afta maggiore (area biancastra) all'interno del labbro.
DR P. MARAZZI/SCIENCE PHOTO LIBRARY