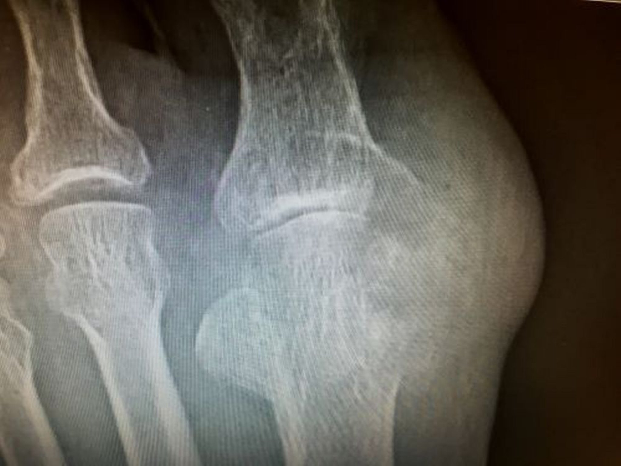
Tofo con erosione
Questa foto mostra grandi erosioni provocate da tofi che coinvolgono il metatarso distale e la falange prossimale del dito grosso.
Image courtesy of N. Lawrence Edwards, MD.
In questi argomenti
Questa foto mostra grandi erosioni provocate da tofi che coinvolgono il metatarso distale e la falange prossimale del dito grosso.
Image courtesy of N. Lawrence Edwards, MD.