TC senza contrasto dell'addome e della pelvi che mostra un'anatomia normale (Slide 4)
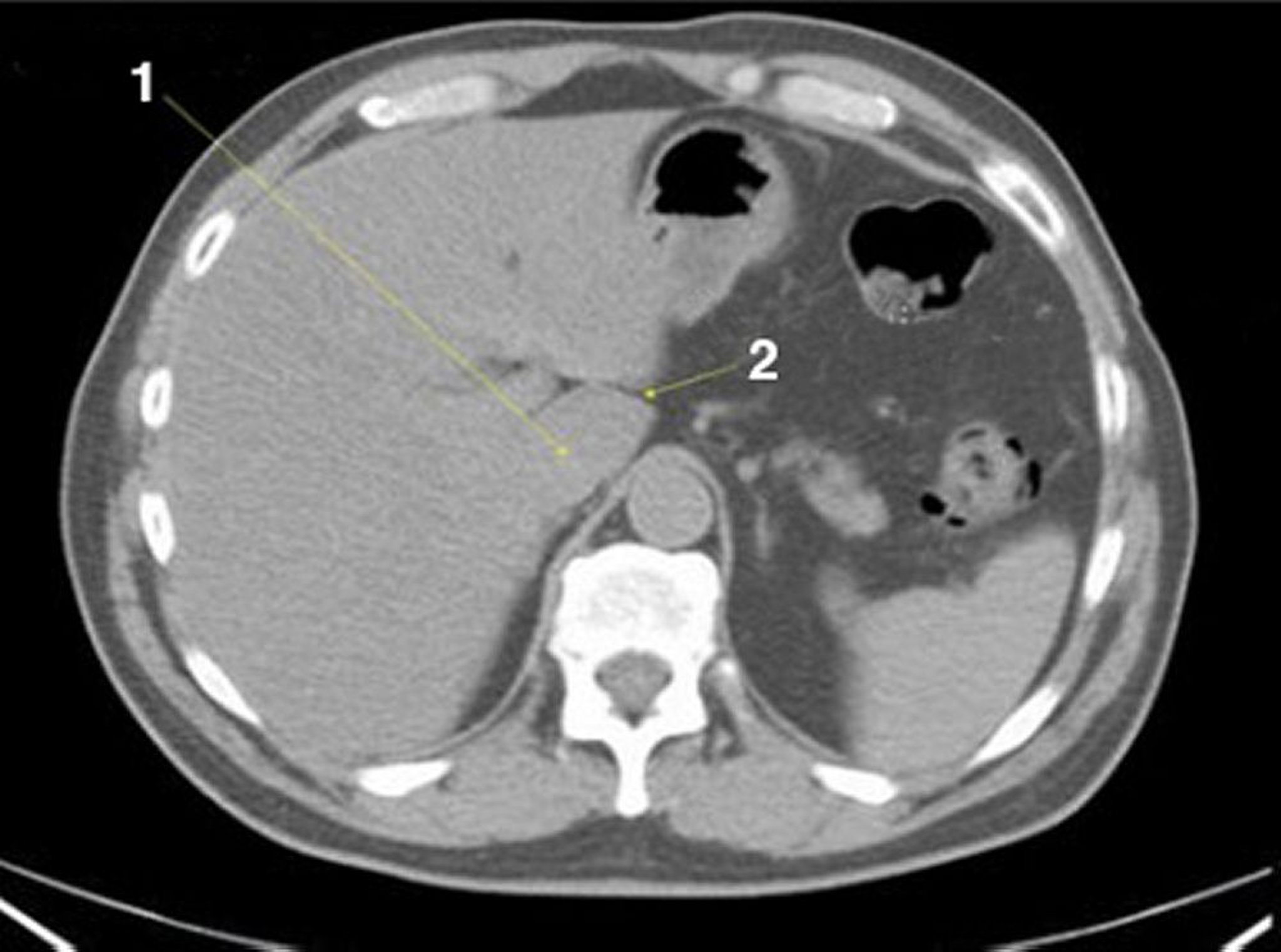
1 = lobo caudato del fegato; 2 = fessura per il ligamentum venosum.
© Springer Science+Business Media
In questi argomenti
1 = lobo caudato del fegato; 2 = fessura per il ligamentum venosum.
© Springer Science+Business Media