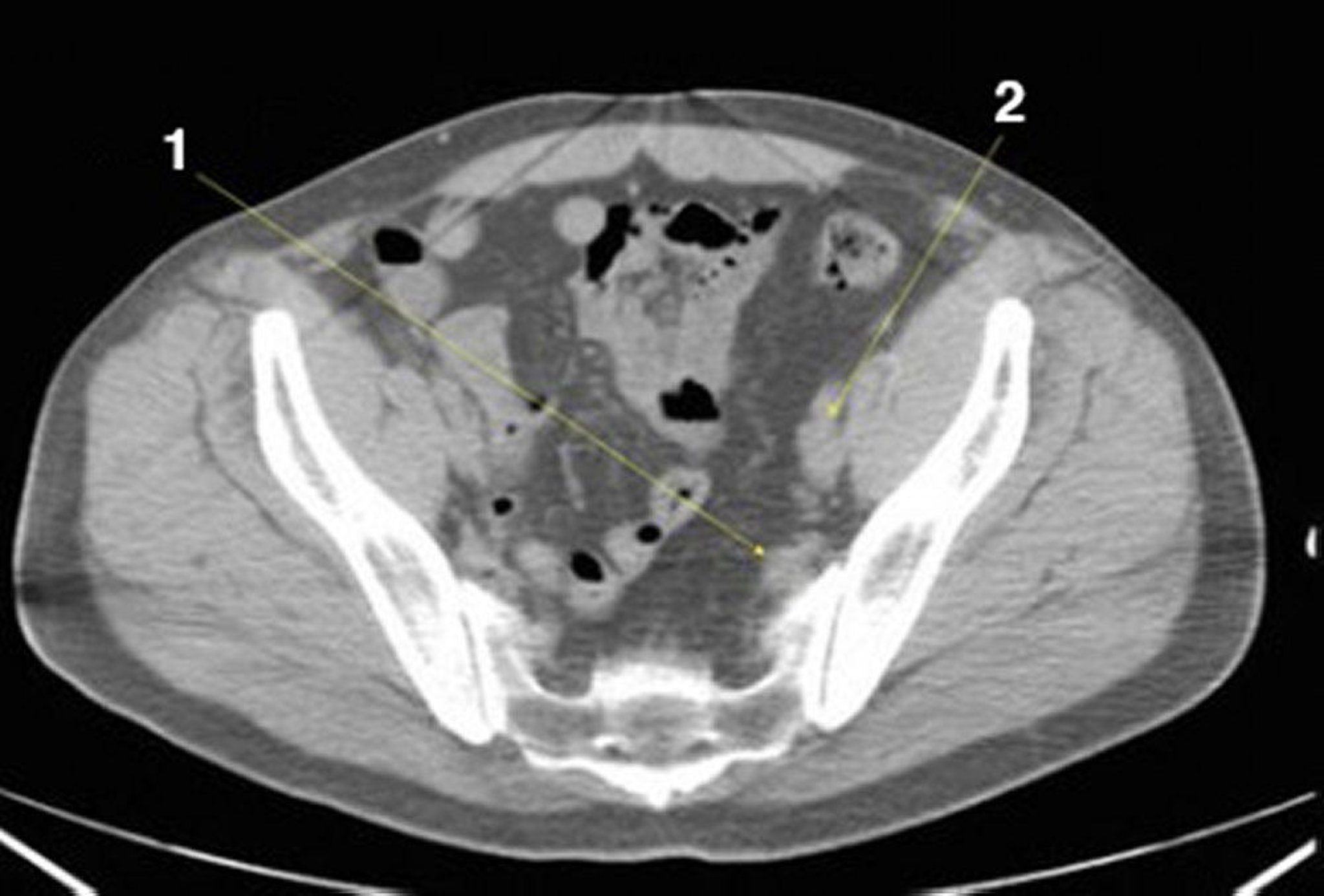
TC senza contrasto dell'addome e della pelvi che mostra un'anatomia normale (Slide 24)
1 = vasi iliaci interni; 2 = vasi iliaci esterni.
© Springer Science+Business Media
In questi argomenti
1 = vasi iliaci interni; 2 = vasi iliaci esterni.
© Springer Science+Business Media