TC della testa
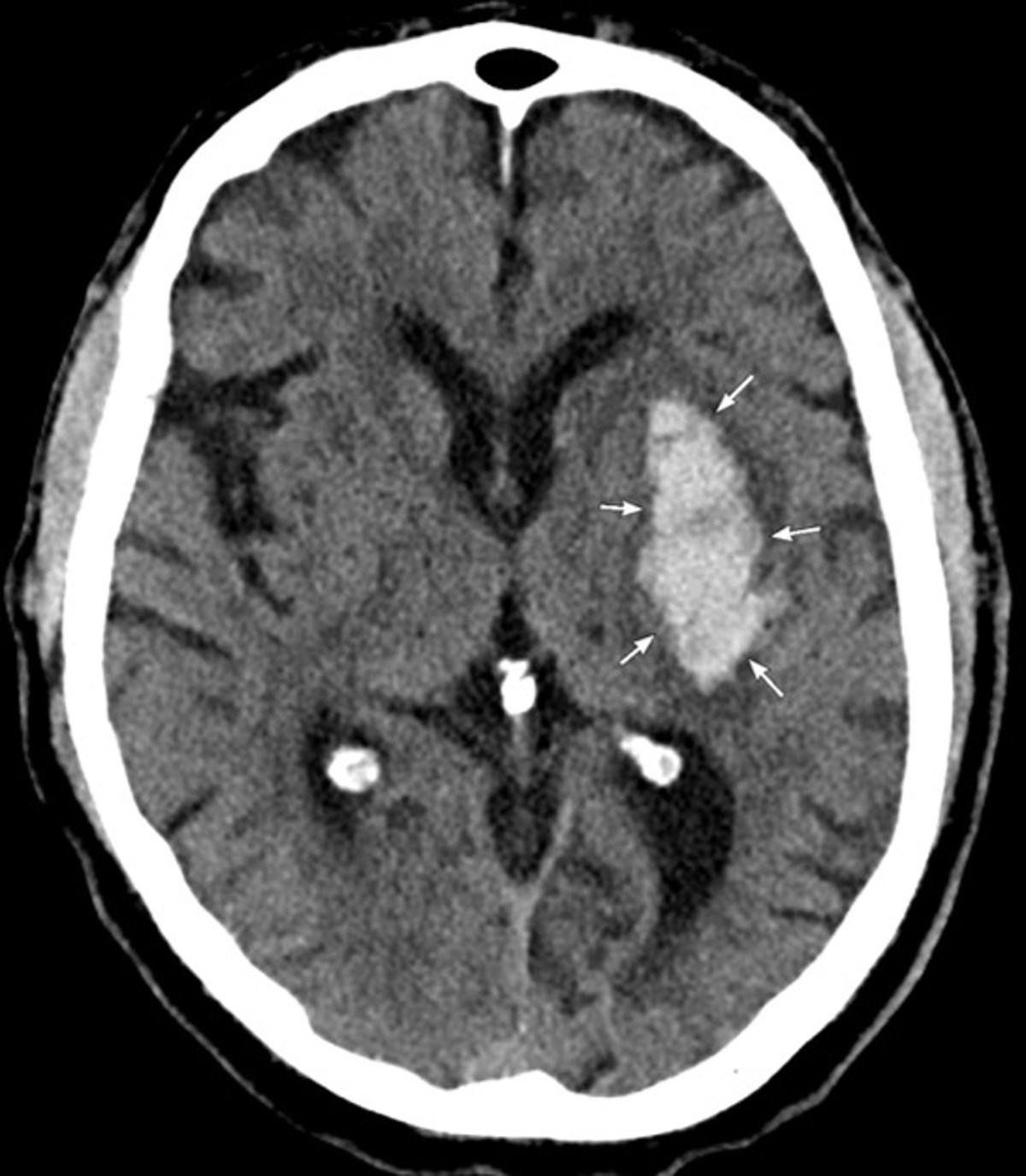
La TC mostra un'emorragia acuta nei gangli della base sinistra compatibile con un'emorragia ipertensiva intracerebrale.
Image courtesy of Mustafa Mafraji, MD.
In questi argomenti
La TC mostra un'emorragia acuta nei gangli della base sinistra compatibile con un'emorragia ipertensiva intracerebrale.
Image courtesy of Mustafa Mafraji, MD.