TC del torace nella sarcoidosi polmonare
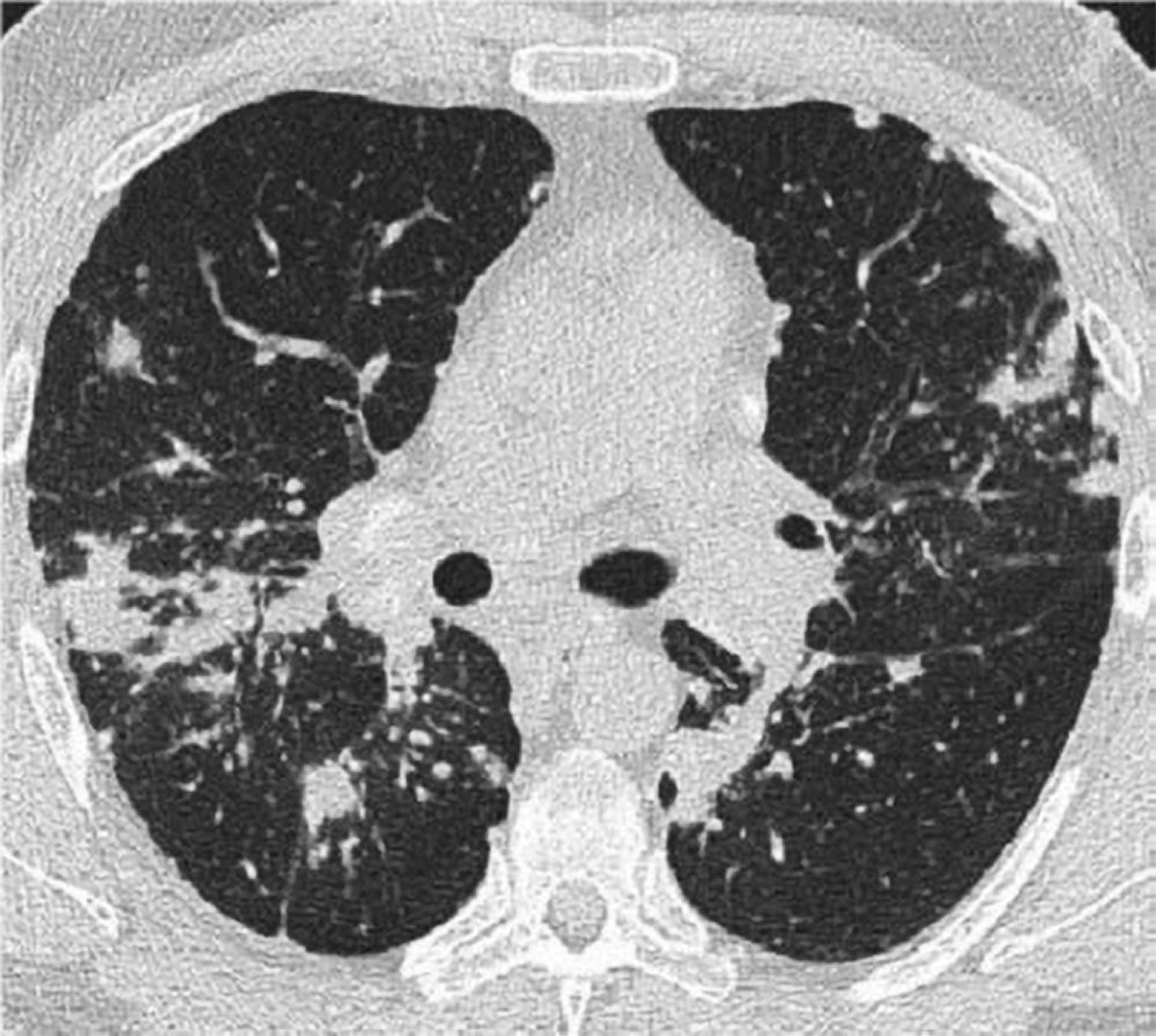
Questa TC ad alta risoluzione del torace di un paziente con sarcoidosi polmonare mostra ispessimento dei fasci broncovascolari e perline dei setti interlobulari.
Image courtesy of Birendra P. Sah, MD, FCCP.
In questi argomenti
