TC con contrasto che mostra arterie coronarie normali, slide 6
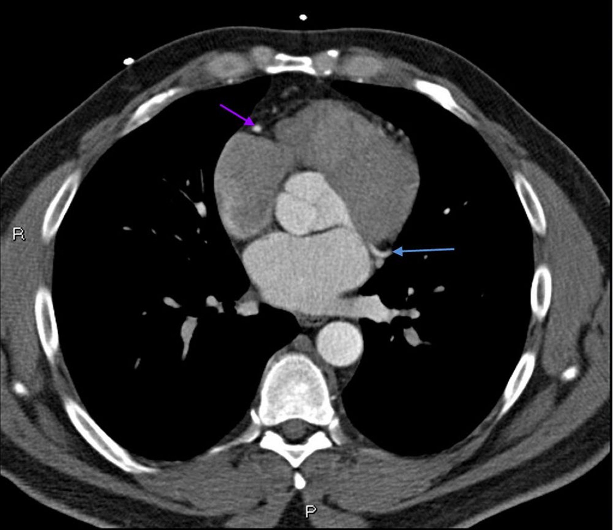
Questa TC con contrasto mostra arterie coronarie normali. L'arteria coronaria principale sinistra è indicata dalla freccia rossa. Le arterie discendente anteriore sinistra e circonflessa sinistra sono indicate rispettivamente dalle frecce verde e blu e l'arteria coronaria destra è indicata dalla freccia viola.
© 2017 Elliot K. Fishman, MD.
In questi argomenti
