TC cerebrale normale (adulto di 30 anni), slide 6
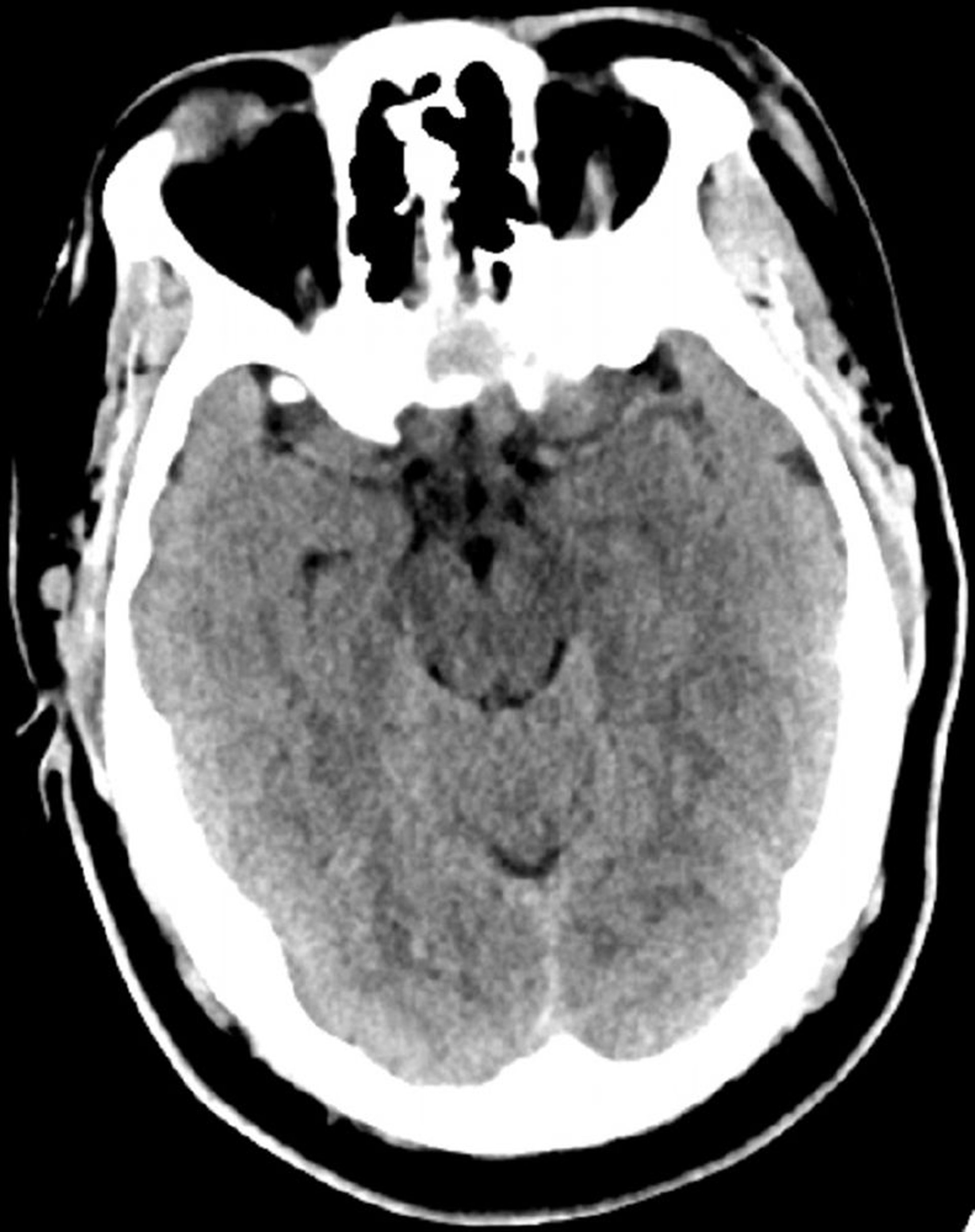
Questa immagine è una normale TC della testa di un adulto di 30 anni. Non vi è alcun liquido o emorragia intra o extra assiale. La differenziazione grigio-bianca è preservata. Le dimensioni ventricolari e il disegno dei solchi sono normali.
© 2017 Elliot K. Fishman, MD.
In questi argomenti
