Spondilite anchilosante
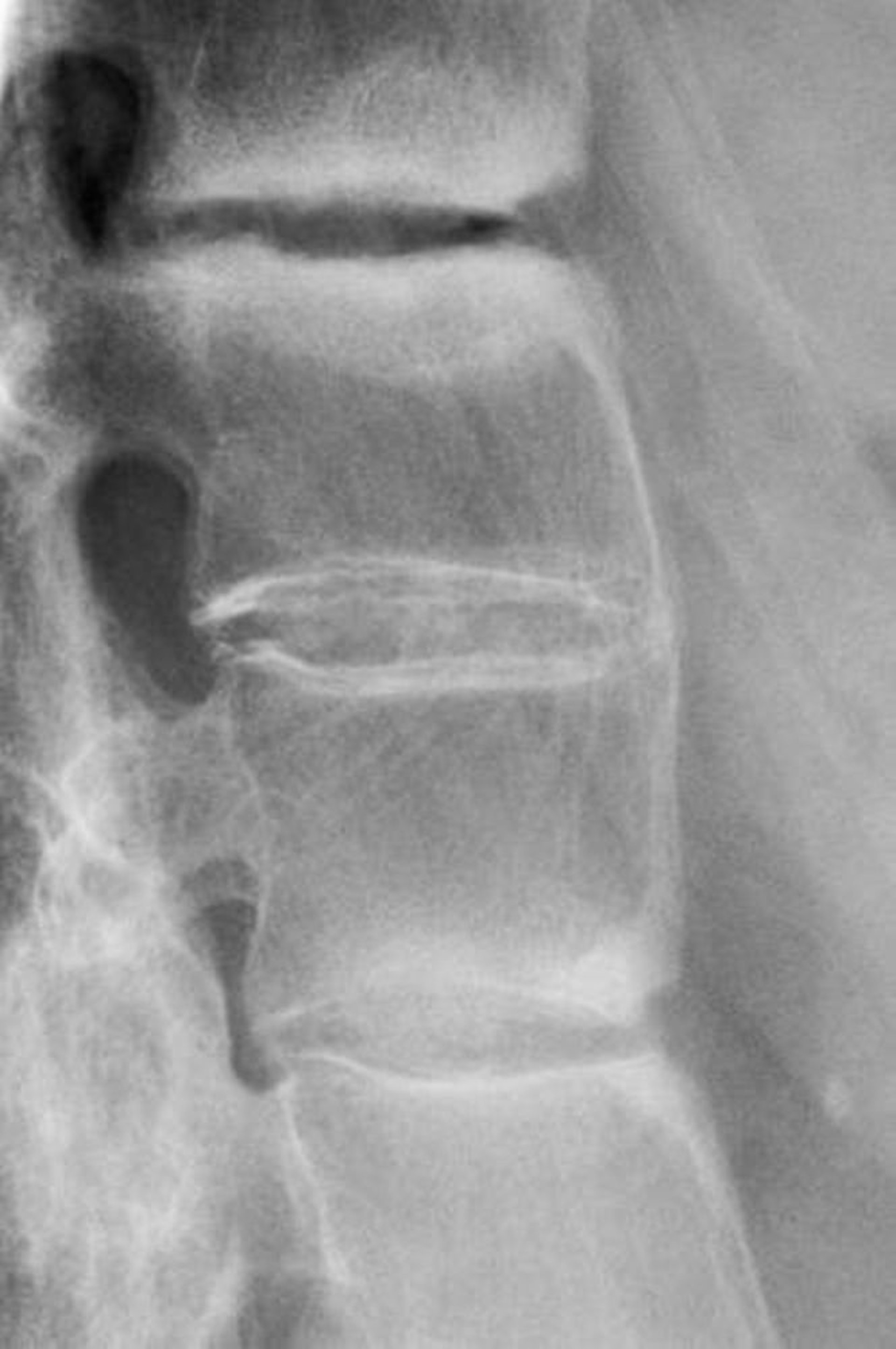
Questa radiografia mostra sclerosi tra le vertebre lombari, perdita della lordosi, e fusione delle vertebre lombari, un reperto che indica una forma avanzata di spondilite anchilosante.
DR P. MARAZZI/SCIENCE PHOTO LIBRARY
In questi argomenti
