Slargamento del mediastino
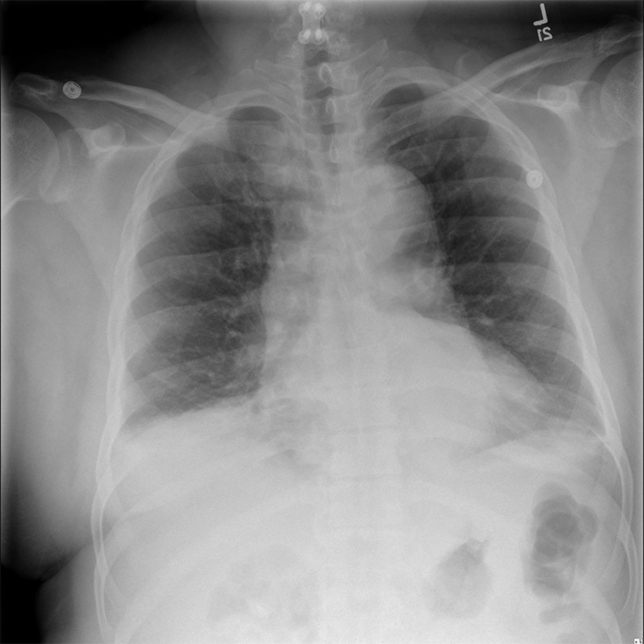
Questa radiografia mostra uno slargamento del mediastino in un paziente con noto aneurisma dell'aorta toracica.
© 2017 Elliot K. Fishman, MD.
In questi argomenti
Questa radiografia mostra uno slargamento del mediastino in un paziente con noto aneurisma dell'aorta toracica.
© 2017 Elliot K. Fishman, MD.