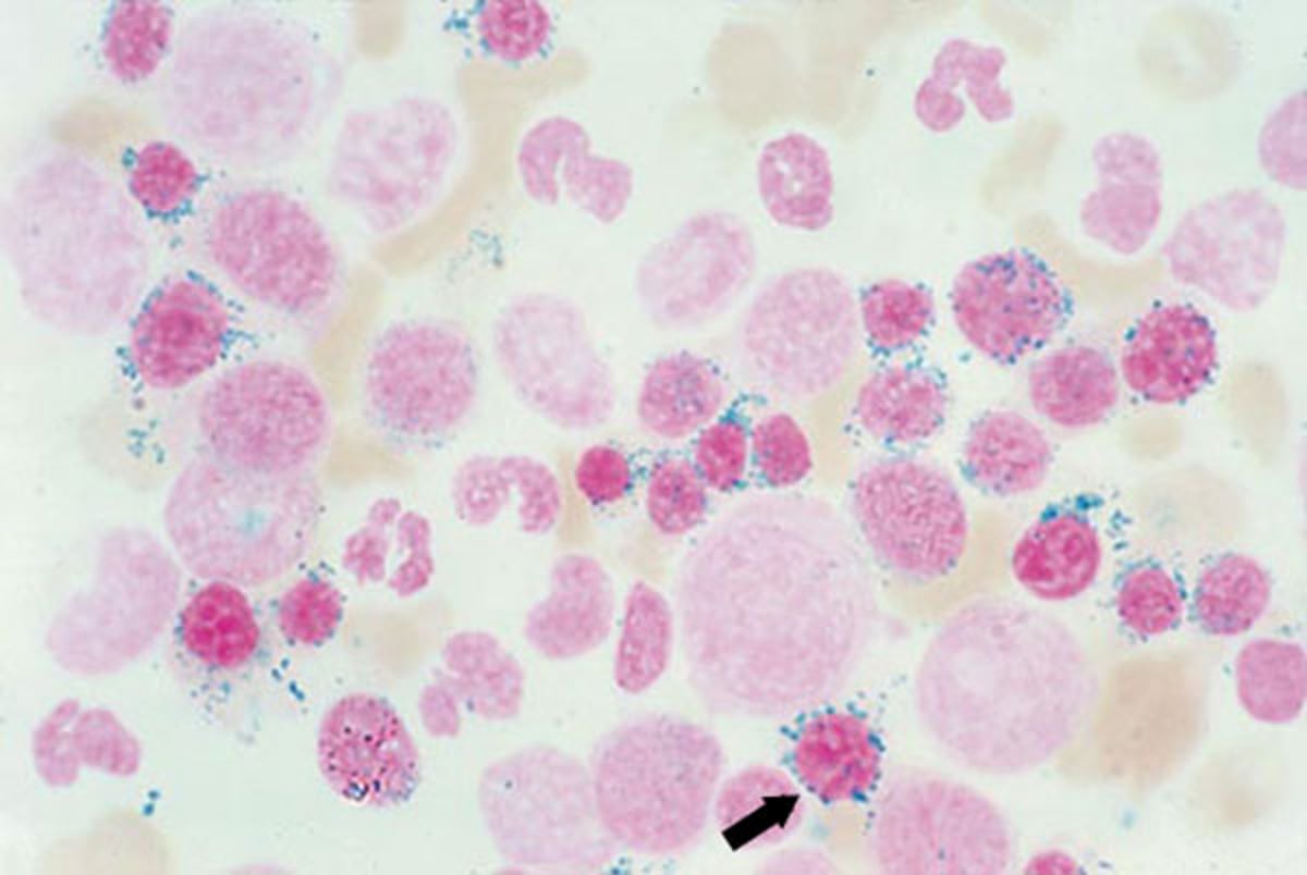
Sideroblasti ad anello nell'anemia sideroblastica
Nell'anemia sideroblastica, i sideroblasti ad anello sono visibili nel midollo osseo (freccia). I sideroblasti ad anello sono precursori eritroidi i cui mitocondri (situati intorno al nucleo) sono ricchi di ferro non eme.
By permission of the publisher. From Tefferi A, Li C. In Atlas of Clinical Hematology. Edited by JO Armitage. Philadelphia, Current Medicine, 2004.
In questi argomenti
