Le anemie sideroblastiche sono un gruppo eterogeneo di anemie caratterizzate dalla presenza di aumento del ferro sierico, della ferritina e della saturazione della transferrina, nonché di sideroblasti ad anello (eritroblasti con mitocondri perinucleari con depositi di ferro). I sintomi sono quelli dell'anemia e comprendono affaticamento e letargia. La diagnosi si basa sull'emocromo con formula, sulla conta dei reticolociti e sullo striscio di sangue periferico, nonché sugli esami del ferro e sull'esame del midollo osseo. Il trattamento richiede l'interruzione di sostanze causali come zinco, alcuni farmaci o etanolo e la somministrazione di integratori vitaminici e di eritropoietina o di altri trattamenti per la sindrome mielodisplastica, se presente.
(Vedi anche Panoramica sull'eritropoiesi ridotta.)
Le anemie sideroblastiche possono essere
Acquisite
Congenite
L'anemia sideroblastica acquisita è frequentemente associata alla sindrome mielodisplastica (ma può essere causata da farmaci o tossine) e causa un'anemia normocitica o macrocitica.
L'anemia sideroblastica congenita è causata da una delle numerose mutazioni legate al cromosoma X o autosomiche e solitamente è un'anemia ipocromica, microcitica, ma può essere normocitica e può comparire più tardi nella vita.
Le anemie sideroblastiche sono anemie da disutilizzo del ferro, caratterizzate da un utilizzo mitocondriale inadeguato del ferro a causa di una sintesi dell'eme compromessa, nonostante la presenza di una quantità adeguata o aumentata di ferro. Le anemie sideroblastiche talvolta sono caratterizzate dalla presenza di globuli rossi punteggiati (siderociti) contenenti granuli carichi di ferro (corpi di Pappenheimer).
Nell'anemia sideroblastica sia acquisita che congenita, la sintesi dell'eme è compromessa a causa dell'incapacità di incorporare il ferro nella protoporfirina IX, portando alla formazione di sideroblasti ad anello.
Anemia sideroblastica acquisita
In genere, le anemie sideroblastiche acquisite sono parte di un
Mutazioni somatiche nei geni coinvolti nello splicing dell'RNA, il più delle volte in SF3B1 (subunità 1 del fattore di splicing 3b [splicing factor 3b subunit 1]), si verificano in età adulta. Le cellule progenitrici eritroidi precoci sono sideroblastiche.
Cause meno frequenti sono
Carenza di vitamina B6 (piridossina) o di rame (probabilmente causata dall'ingestione di zinco, che impedisce l'assorbimento del rame nel tratto gastrointestinale)
Farmaci (p. es., cloramfenicolo, cicloserina, isoniazide, linezolid, pirazinamide)
Tossine (compresi etanolo, zinco e piombo)
Essa è caratterizzata da una ridotta produzione di reticolociti, dalla morte intramidollare dei globuli rossi e da un'iperplasia eritroide nel midollo osseo (e displasia). Nonostante vengano prodotti globuli rossi ipocromici, altri globuli rossi possono essere grandi, producendo valori normocitico o macrocitico dei parametri di laboratorio; in tal caso, la variabilità nella dimensione dei globuli rossi (dimorfismo) di solito determina un aumento dell'ampiezza del volume di distribuzione dei globuli rossi.
Anemia sideroblastica congenita
Le forme ereditarie di anemia sideroblastica sono meno frequenti delle forme acquisite e di solito si verificano nella prima infanzia o un po' più tardi nell'infanzia. L'anemia sideroblastica congenita più comune è una forma legata all'X causata da una mutazione germinale dell'ALAS2 (5'-aminolevulinato sintasi 2), un gene coinvolto nella biosintesi dell'eme. La vitamina B6 (piridossina) è un cofattore essenziale per l'enzima prodotto da ALAS2; quindi i pazienti possono rispondere all'integrazione con piridossina.
Numerose altre forme legate al cromosoma X, autosomiche e mitocondriali sono state identificate con mutazioni nei geni coinvolti nella sintesi dell'eme o in altre vie enzimatiche mitocondriali (1).
I globuli rossi sono solitamente microcitici e ipocromici, ma non sempre; i sideroblasti ad anello comprendono gli eritroblasti tardivi.
Riferimento generale
1. Ducamp S, Fleming MD. The molecular genetics of sideroblastic anemia. Blood. 133:59–69, 2019. doi: 10.1182/blood-2018-08-815951
Diagnosi delle anemie sideroblastiche
Emocromo completo, conta dei reticolociti e striscio di sangue periferico
Esami sul ferro (ferro sierico, ferritina sierica, e saturazione della transferrina)
Esame del midollo osseo
Test genetici per sospetta mutazione ereditaria o acquisita
L'anemia sideroblastica va sospettata in pazienti con anemia microcitica o con un alta ampiezza della distribuzione dei volumi dei globuli rossi, particolarmente con aumento dei livelli di ferro sierico, di ferritina sierica e di saturazione della transferrina (vedi Anemia sideropenica).
Lo striscio di sangue periferico mostra dimorfismo dei globuli rossi. I globuli rossi possono apparire punteggiati.
L'esame del midollo osseo è necessario ed evidenzia iperplasia eritroide. La colorazione per il ferro mostra il patognomonico accumulo di Fe all'interno dei mitocondri perinucleari nei precursori dei globuli rossi (sideroblasti ad anello). Altri aspetti della sindrome mielodisplastica, come citopenia e displasia, possono essere evidenti.
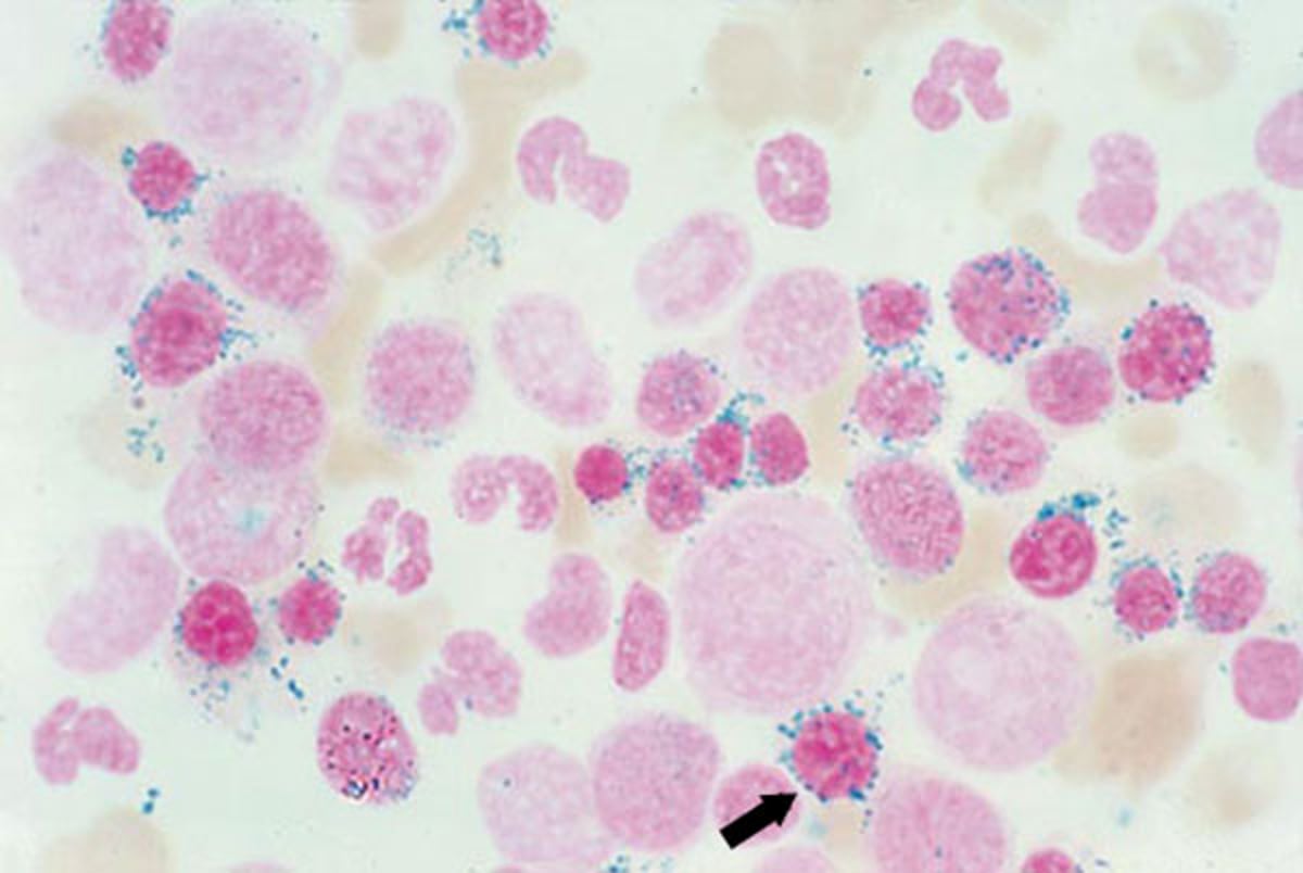
Nell'anemia sideroblastica, i sideroblasti ad anello sono visibili nel midollo osseo (freccia). I sideroblasti ad anello sono precursori eritroidi i cui mitocondri (situati intorno al nucleo) sono ricchi di ferro non eme.
By permission of the publisher. From Tefferi A, Li C. In Atlas of Clinical Hematology. Edited by JO Armitage. Philadelphia, Current Medicine, 2004.
Se l'anemia sideroblastica ha una causa sconosciuta viene eseguito il dosaggio del piombo sierico.
Trattamento delle anemie sideroblastiche
Sospensione delle sostanze scatenanti
Integrazione di vitamine o minerali
Eritropoietina ricombinante
Luspatercept per pazienti a rischio inferiore dipendenti da trasfusioni con sindrome mielodisplastica
L'eliminazione di una tossina o di un farmaco (specialmente l'ingestione di alcol o di zinco) o l'integrazione di un minerale/vitamina (rame o piridossina) possono portare a risoluzione del quadro.
L'anemia sideroblastica legata all'X può rispondere alla somministrazione di piridossina, ma di solito non del tutto.
I casi acquisiti spesso rispondono ad alte dosi di eritropoietina ricombinante e al trattamento standard della sindrome mielodisplastica a basso rischio. Il luspatercept, che promuove la differenziazione dei precursori dei globuli rossi, è anche un trattamento di prima linea per l'anemia trasfusione-dipendente nella sindrome mielodisplastica a basso rischio in pazienti sia con che senza sideroblasti ad anello (1, 2).
Trattare il sovraccarico di ferro con chelazione o flebotomia come tollerato aiuta a prevenire i danni agli organi terminali. La gestione dell'anemia grave è di supporto mediante trasfusioni. Nei pazienti giovani con casi congeniti dipendenti dalla trasfusione, deve essere considerato il trapianto allogenico di midollo osseo.
Riferimenti relativi al trattamento
1. Fenaux P, Platzbecker U, Mufti GJ, et al. Luspatercept in patients with lower-risk myelodysplastic syndromes. N Engl J Med. 382(2): 140–151, 2020. doi: 10.1056/NEJMoa1908892
2. Platzbecker U, Della Porta MG, Santini V, et al. Efficacy and safety of luspatercept versus epoetin alfa in erythropoiesis-stimulating agent-naive, transfusion-dependent, lower-risk myelodysplastic syndromes (COMMANDS): interim analysis of a phase 3, open-label, randomised controlled trial. Lancet. 2023;402(10399):373-385. doi:10.1016/S0140-6736(23)00874-7
Punti chiave
L'anemia sideroblastica può essere acquisita o congenita.
I sideroblasti ad anello su una biopsia del midollo osseo sono patognomonici.
L'anemia è solitamente microcitica nell'anemia sideroblastica congenita e macrocitica nell'anemia sideroblastica acquisita.
La sideremia, la ferritina e la transferrina sono tipicamente aumentati.
Trattare la malattia di base e considerare la piridossina nei casi congeniti o l'eritropoietina ricombinante nei casi acquisiti.
Considerare il luspatercept per i pazienti a basso rischio con sindrome mielodisplastica trasfusione-dipendente.



