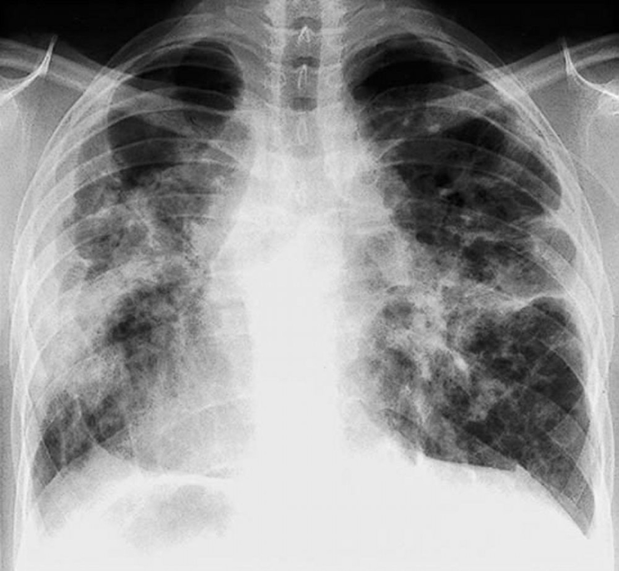
Sarcoidosi (stadio IV)
Grave fibrosi diffusa con adenopatia ilare e alterazioni cistiche dei lobi superiori nella sarcoidosi allo stadio IV.
By permission of the publisher. From: Tanoue L, Elias J. In Bone's Atlas of Pulmonary and Critical Care Medicine. Edited by J Crapo. Philadelphia, Current Medicine, 2005.
In questi argomenti
