Sarcoidosi (stadio III)
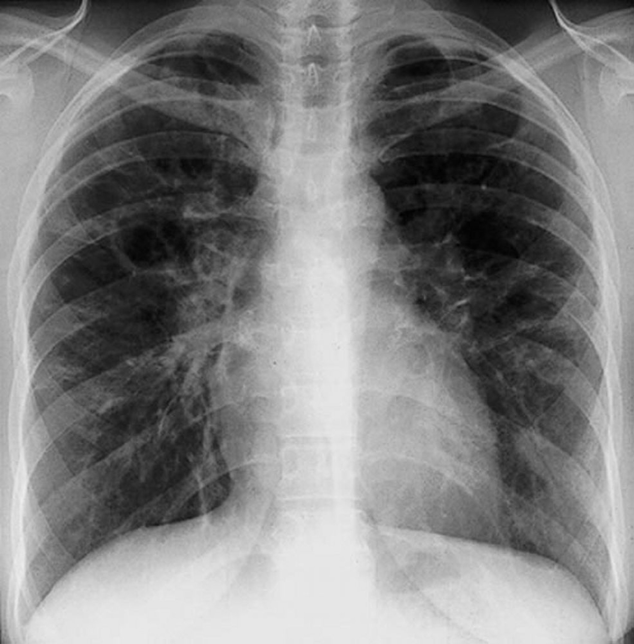
Opacità interstiziali diffuse senza adenopatia ilare nello stadio III della sarcoidosi.
By permission of the publisher. Da Tanoue L, Elias J. In Bone's Atlas of Pulmonary and Critical Care Medicine. Edited by J Crapo. Philadelphia, Current Medicine, 2005.
In questi argomenti
