RX torace
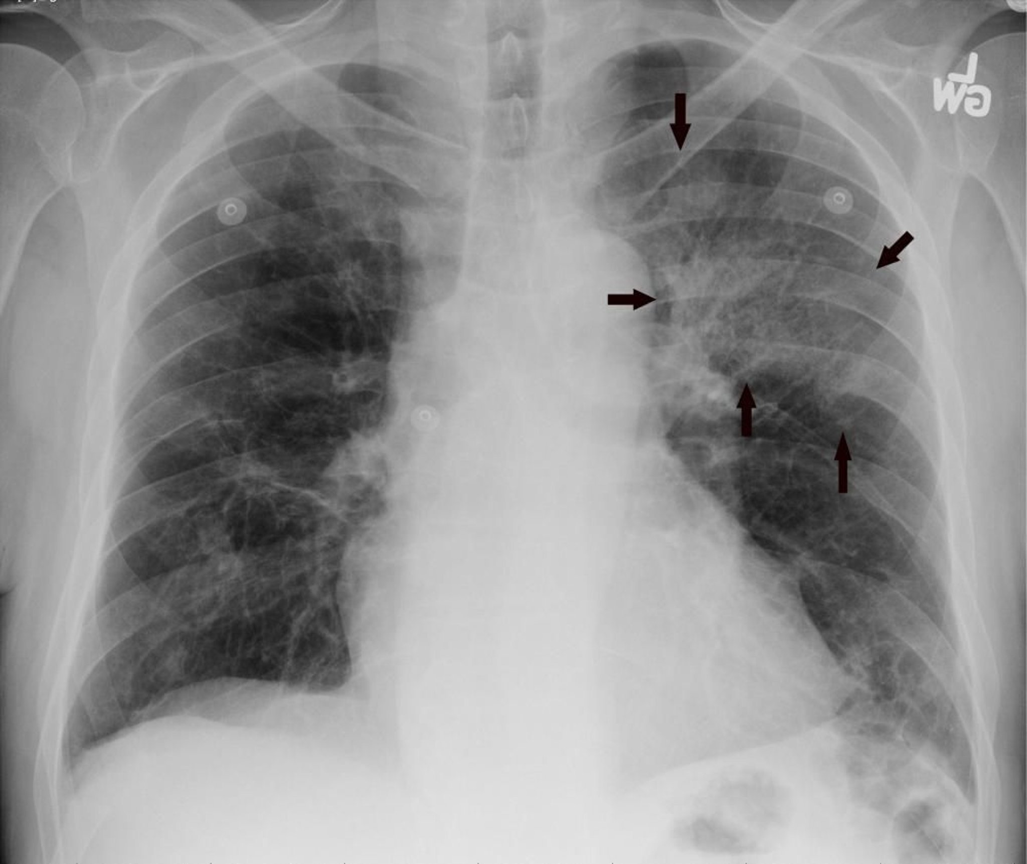
La RX postero-anteriore del torace mostra infiltrazione del lobo superiore sinistro compatibile con polmonite (frecce).
Image courtesy of Hakan Ilaslan, MD.
In questi argomenti
La RX postero-anteriore del torace mostra infiltrazione del lobo superiore sinistro compatibile con polmonite (frecce).
Image courtesy of Hakan Ilaslan, MD.