honeypot link
skip to main content
MSDManuale MsdVersione per i professionisti
ARGOMENTI DI MEDICINARISORSECOMMENTIPROCEDUREQUIZINFORMAZIONI
homeARGOMENTI DI MEDICINARISORSE
Search icon
  1. <Immagini
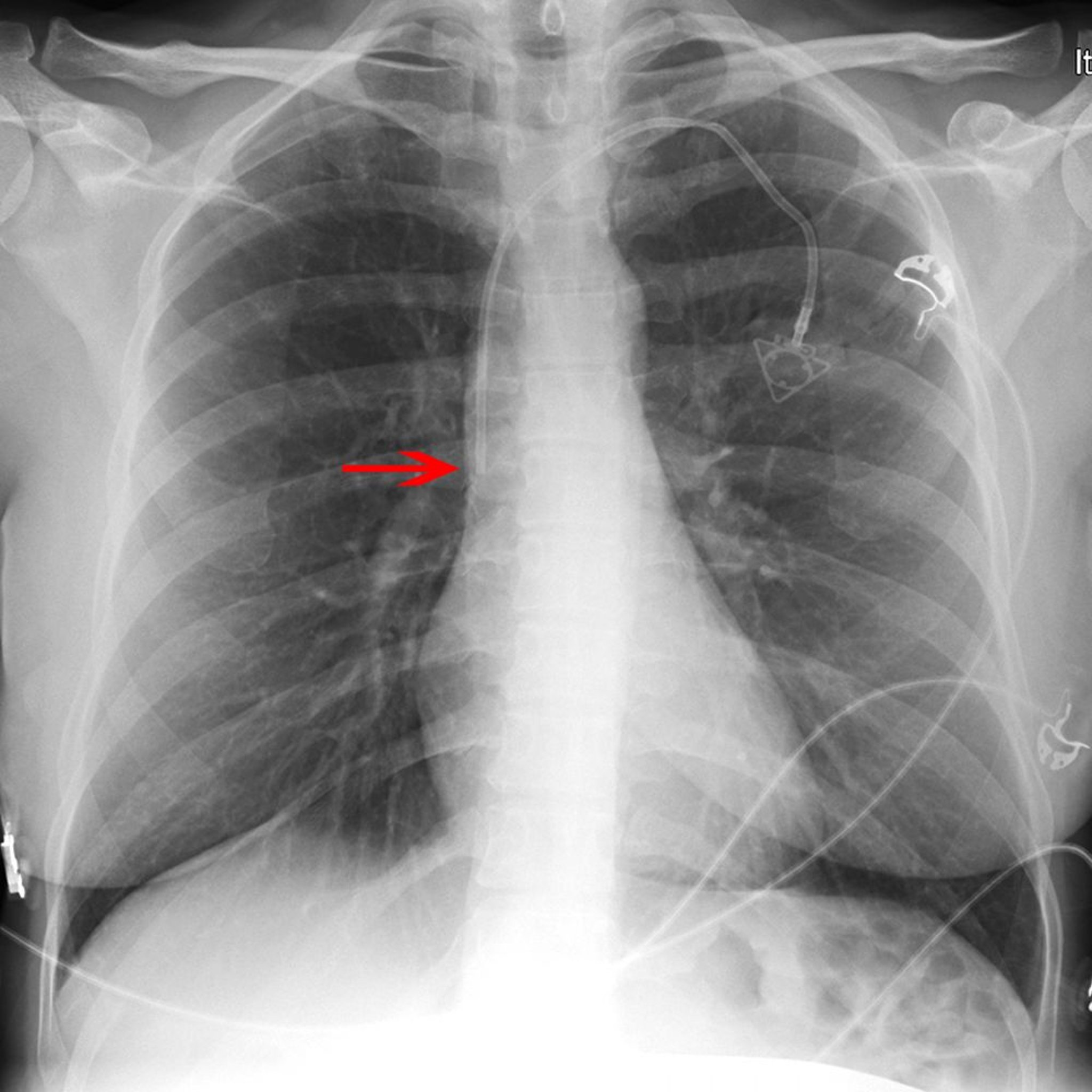
    RX di un catetere venoso centrale

    RX di un catetere venoso centrale

    La freccia rossa indica la punta di un catetere venoso della succlavia sinistra (posizionato appropriatamente nella porzione inferiore della vena cava superiore).

    © 2017 Elliot K. Fishman, MD.

    In questi argomenti
    • Accesso vascolare >
    • Come eseguire l'incannulamento infraclaveare della vena succlavia >
    • Come eseguire l'incannulamento infraclaveare ecoguidato della vena succlavia >
    • Come eseguire l'incannulamento della vena giugulare interna >
    • Come eseguire l'incannulamento ecoguidato della vena giugulare interna >
    MSD
    • Informazioni
    • Clausola di esclusione della responsabilità
    • Autorizzazioni
    • Privacy
    • Cookie Preferences
    • Termini di utilizzo
    • Licenze
    • Contattaci
    • Manuale veterinario (solo in lingua inglese)
    This icon serves as a link to download the eSSENTIAL Accessibility assistive technology app for individuals with physical disabilities. It is featured as part of our commitment to diversity and inclusion.
    This icon serves as a link to download the eSSENTIAL Accessibility assistive technology app for individuals with physical disabilities. It is featured as part of our commitment to diversity and inclusion.
    MSD

    Copyright© 2026Merck & Co., Inc., Rahway, NJ, USA e sue affiliate. Tutti i diritti riservati.