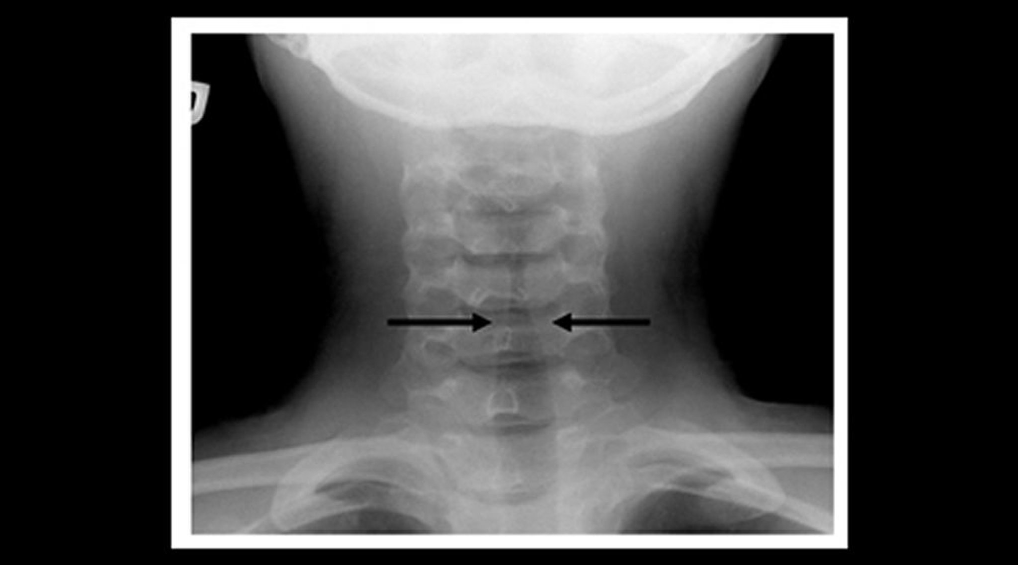
RX di un bambino con laringotracheobronchite acuta (vista coronale)
La RX del collo dei tessuti molli di un bambino con croup mostra un graduale restringimento dell'ombra sottoglottica dell'aria tracheale (segno della guglia, frecce) e la dilatazione degli spazi aerei faringei.
Image courtesy of John McBride, MD.
In questi argomenti
