RM del ginocchio
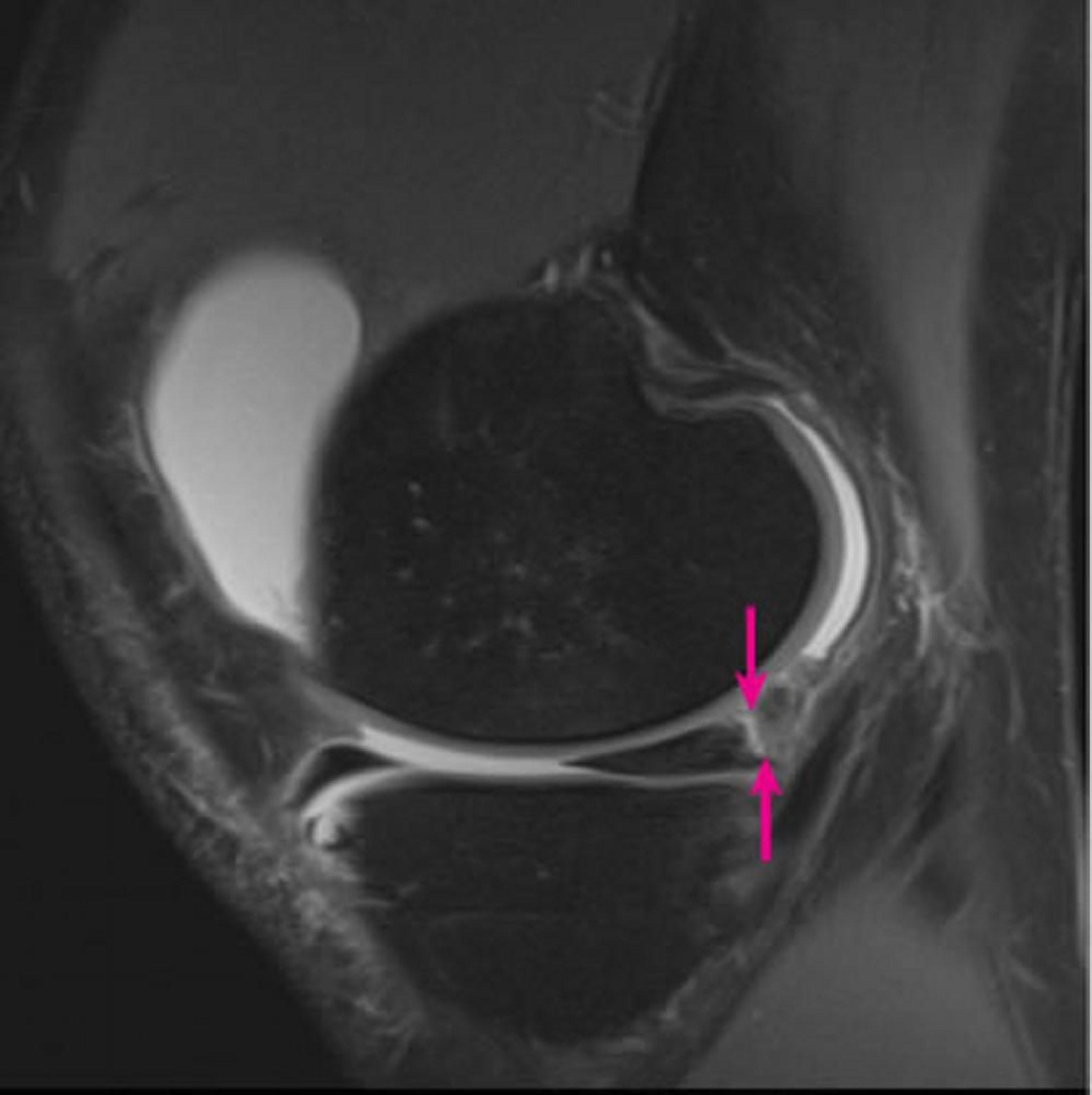
L'immagine alla RM 3-tesla pesata in protone sagittale del ginocchio destro mostra la separazione meniscocapsulare che coinvolge il corno posteriore del menisco mediale (frecce).
Image courtesy of Hakan Ilaslan, MD.
In questi argomenti
