Radiolografie del torace di un paziente con versamento pericardico
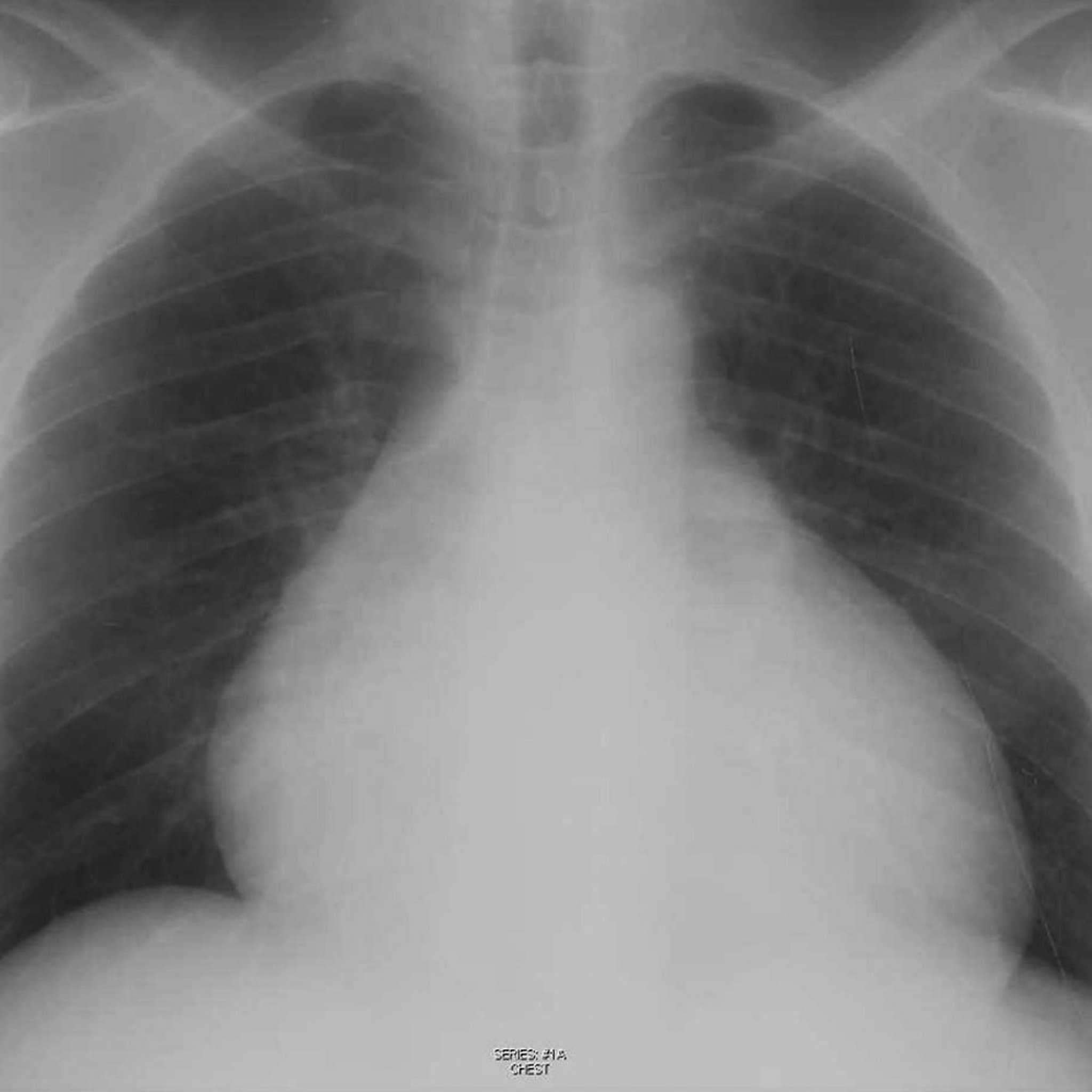
Questa radiografia mostra una silhouette cardiaca ingrandita in un paziente con versamento pericardico.
© 2017 Elliot K. Fishman, MD.
In questi argomenti
Questa radiografia mostra una silhouette cardiaca ingrandita in un paziente con versamento pericardico.
© 2017 Elliot K. Fishman, MD.