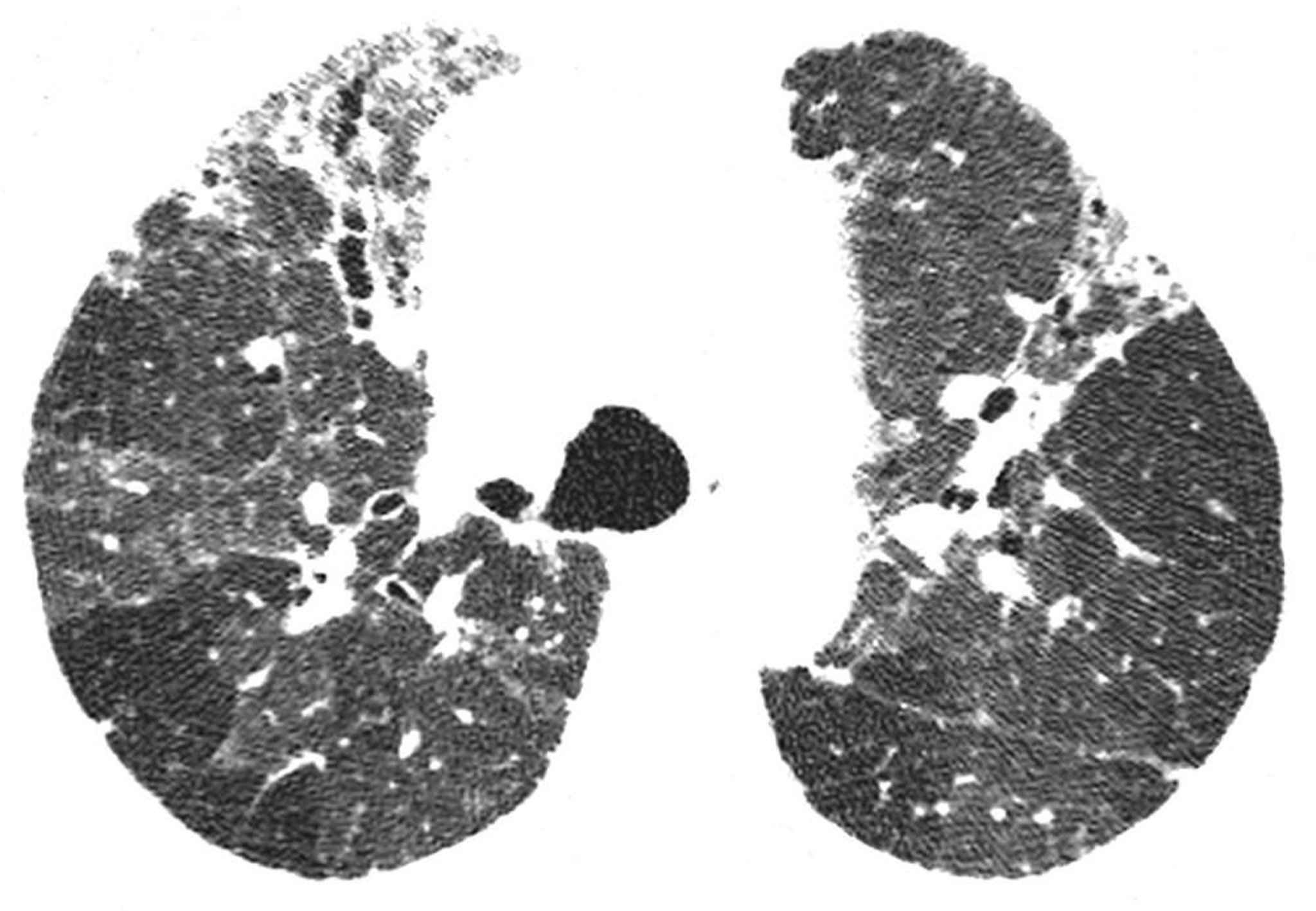
Polmonite da ipersensibilità cronica
La TC ad alta risoluzione mostra i segni di fibrosi, inclusi reticolazione irregolare e bronchiectasie da trazione. Le aree con ridotta densità polmonare sono compatibili con le regioni con ostruzione delle vie aeree. Questa combinazione di risultati è indicativa per polmonite da ipersensibilità.
Image courtesy of Harold R. Collard, MD.
In questi argomenti
