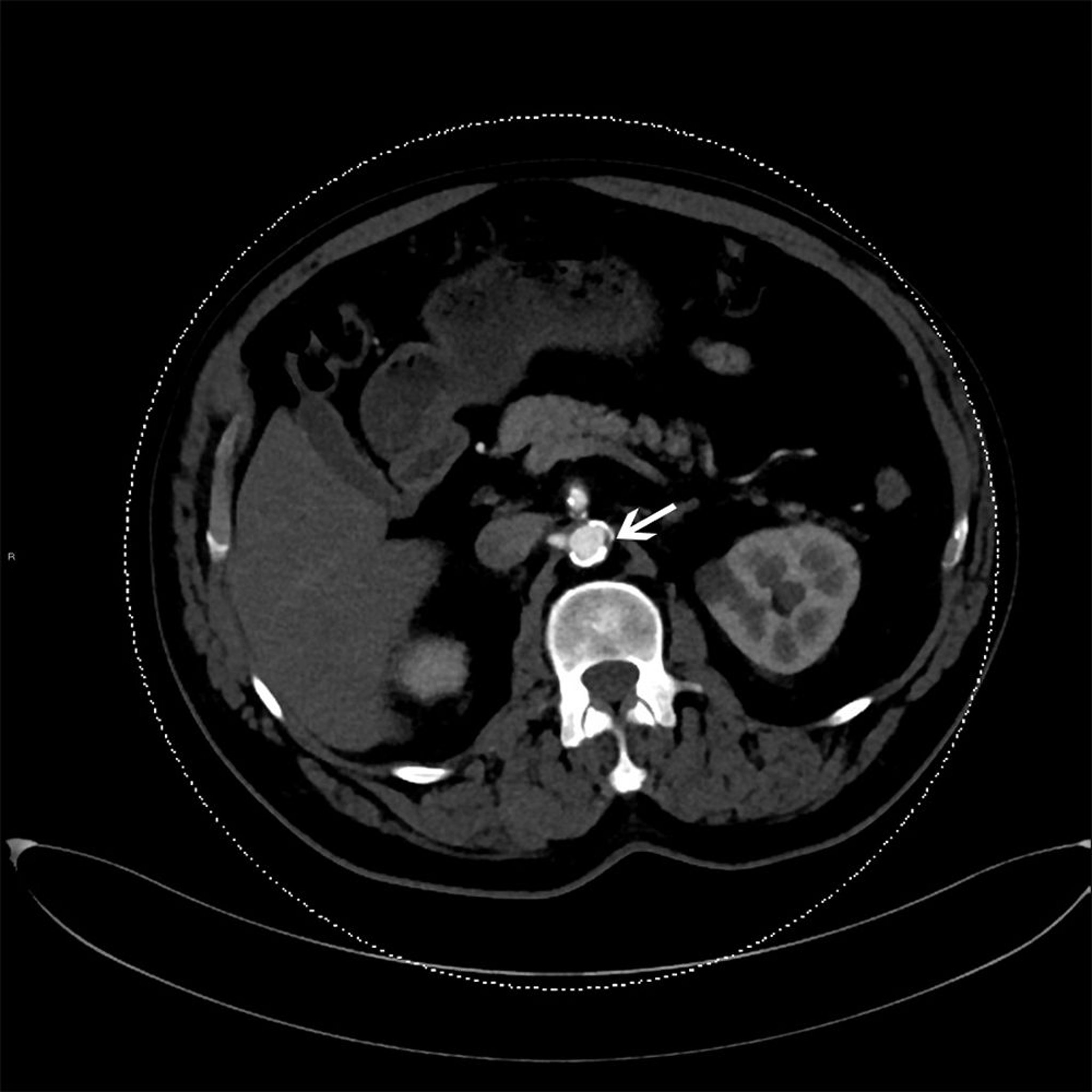
Placca aterosclerotica nell'aorta discendente
Questa scansione TC con contrasto mostra la placca aterosclerotica nell'aorta discendente (freccia).
© Springer Science+Business Media
In questi argomenti
Questa scansione TC con contrasto mostra la placca aterosclerotica nell'aorta discendente (freccia).
© Springer Science+Business Media