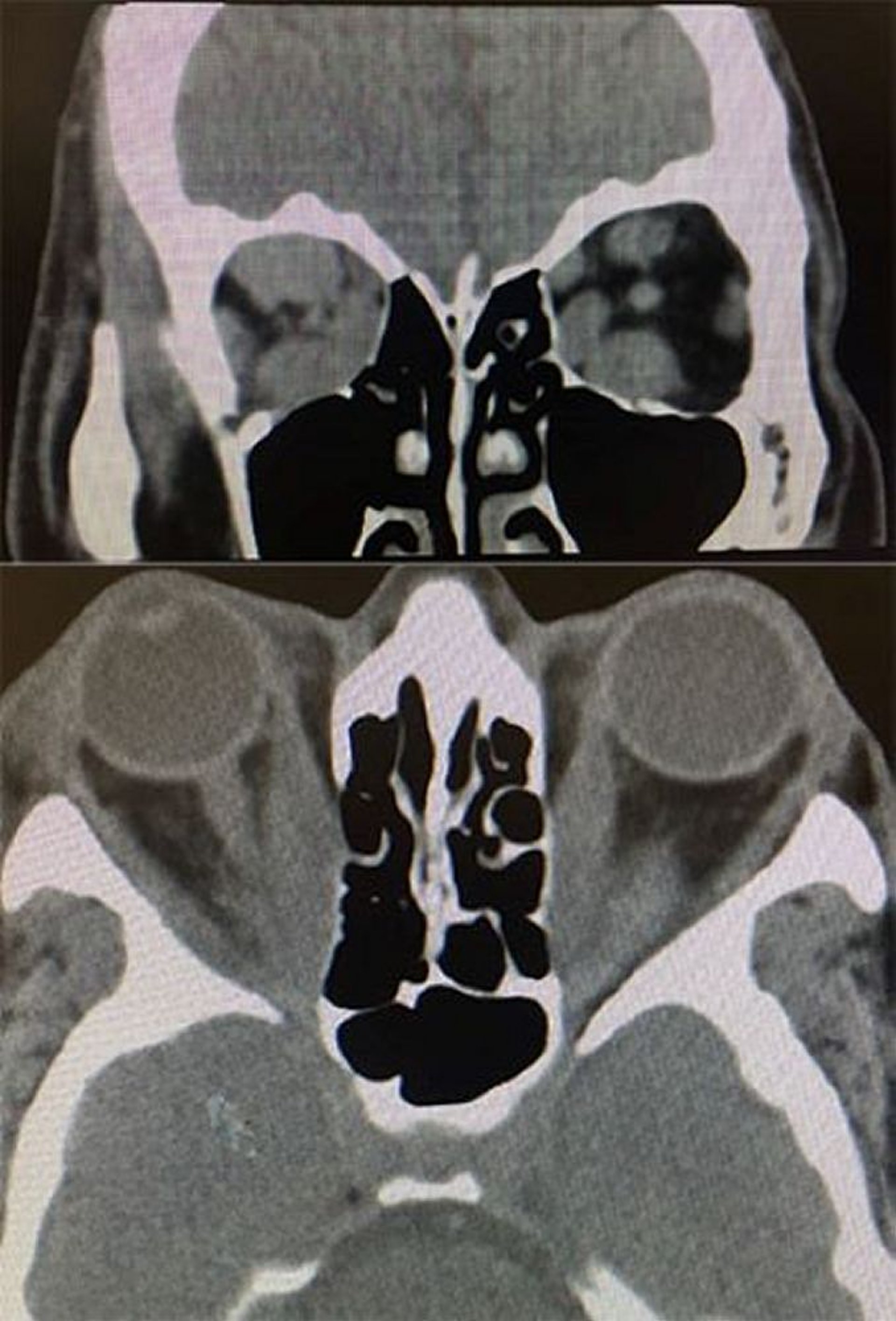
Oftalmopatia tiroidea (TC)
In questa immagine, le scansioni TC assiali e coronali mostrano reperti di oftalmopatia tiroidea. In basso: la TC assiale mostra un ingrandimento del muscolo retto mediale, che risparmia i tendini, bilateralmente. In alto: la TC coronale mostra un ingrandimento dei muscoli inferiori, superiori e del retto mediale più a destra che a sinistra.
Images courtesy of Richard C. Allen, MD, PhD.
In questi argomenti
