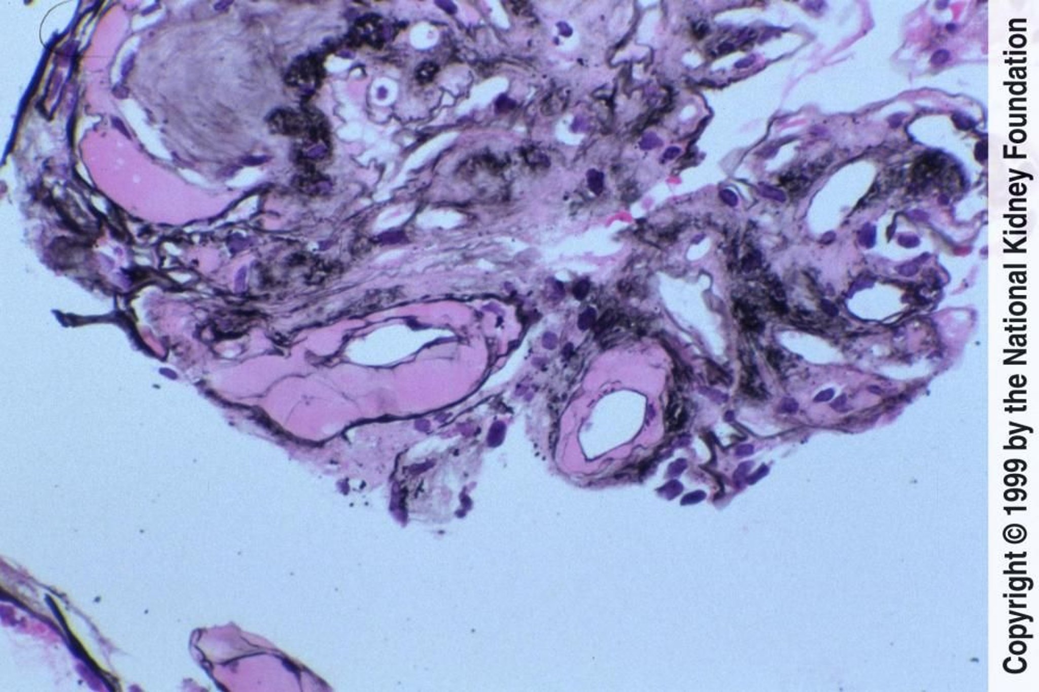
Nefropatia diabetica (ialinosi)
Ialinosi delle arteriole sia afferenti che efferenti.
Imagine fornita da Agnes Fogo, MD, and the American Journal of Kidney Diseases' Atlas of Renal Pathology (vedi www.ajkd.org).
In questi argomenti
Ialinosi delle arteriole sia afferenti che efferenti.
Imagine fornita da Agnes Fogo, MD, and the American Journal of Kidney Diseases' Atlas of Renal Pathology (vedi www.ajkd.org).