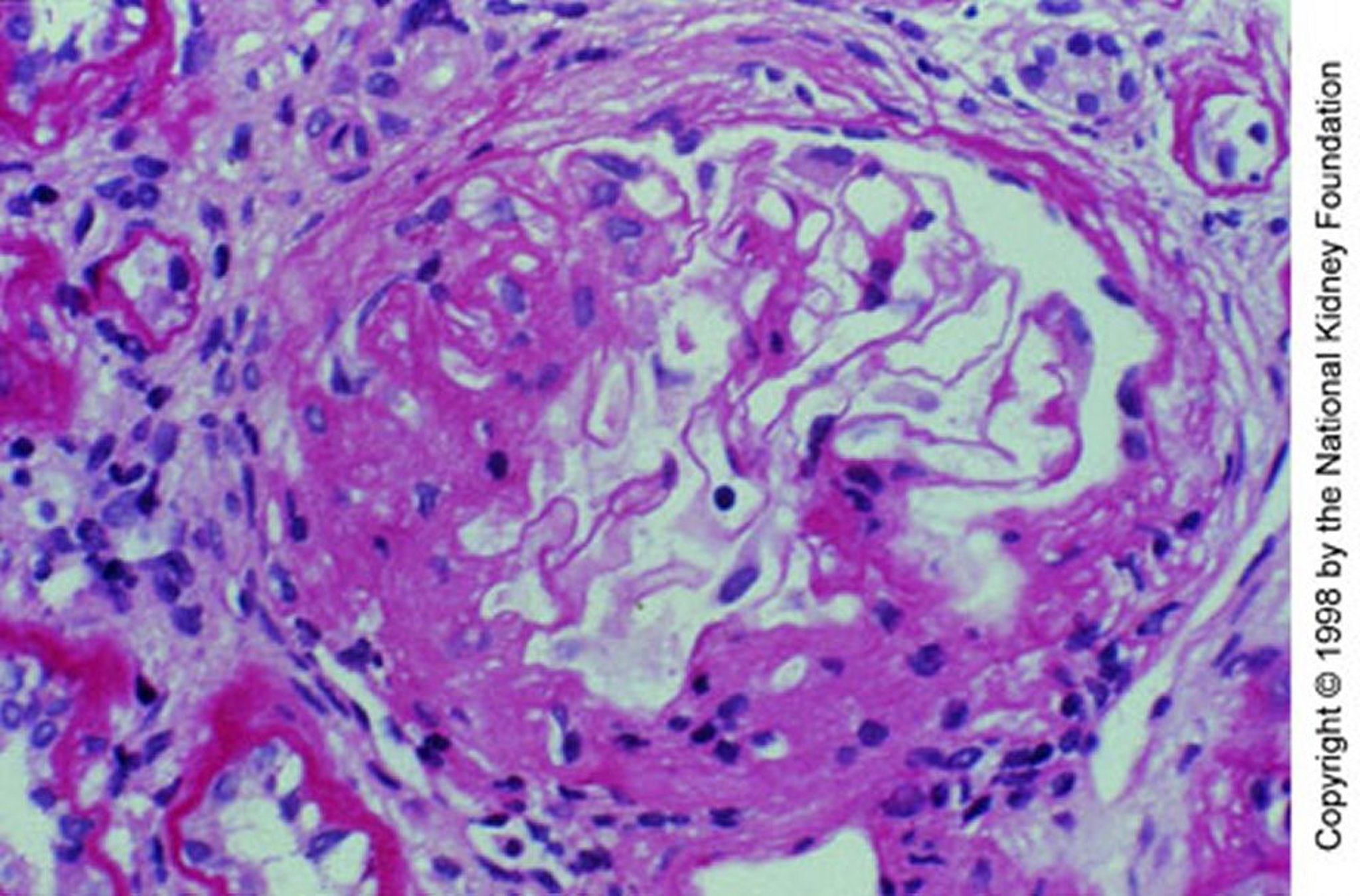
Nefropatia da IgA (espansione mesangiale)

Nefropatia da IgA (espansione mesangiale)

Espansione mesangiale con sclerosi segmentaria (colorazione con acido periodico di Schiff, ×200).

Imagine fornita da Agnes Fogo, MD, and the American Journal of Kidney Diseases' Atlas of Renal Pathology (vedi www.ajkd.org).