Morbo di Kienböck (RX in proiezione obliqua)
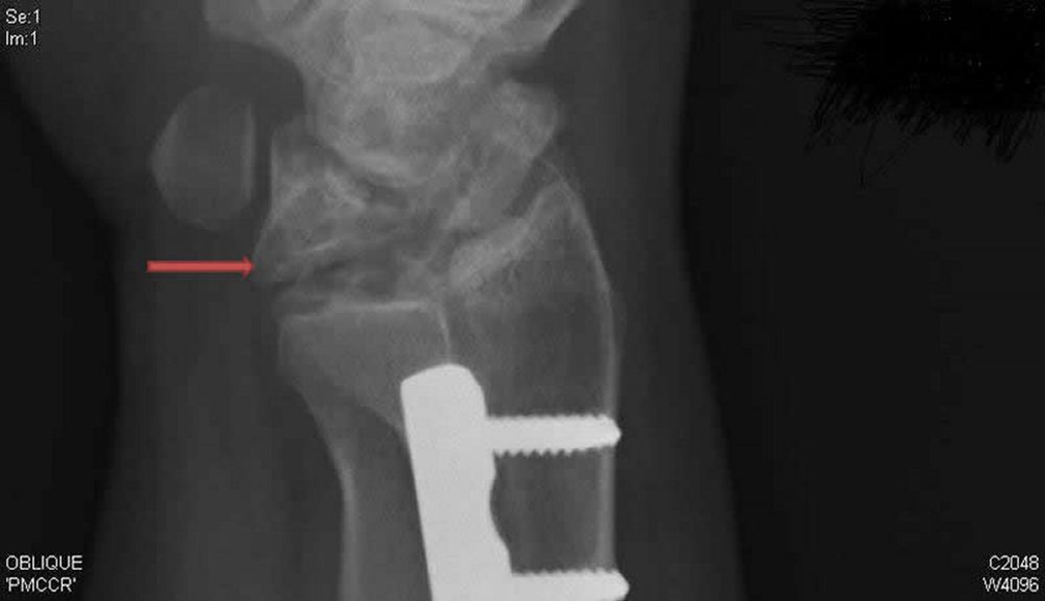
Questa RX obliqua del polso destro mostra il morbo di Kienböck. Si noti il crollo e la frammentazione dell'osso semilunare (freccia), che non era evidente in incidenza postero-anteriore.
RX cortesia di David R. Steinberg, MD.
In questi argomenti
