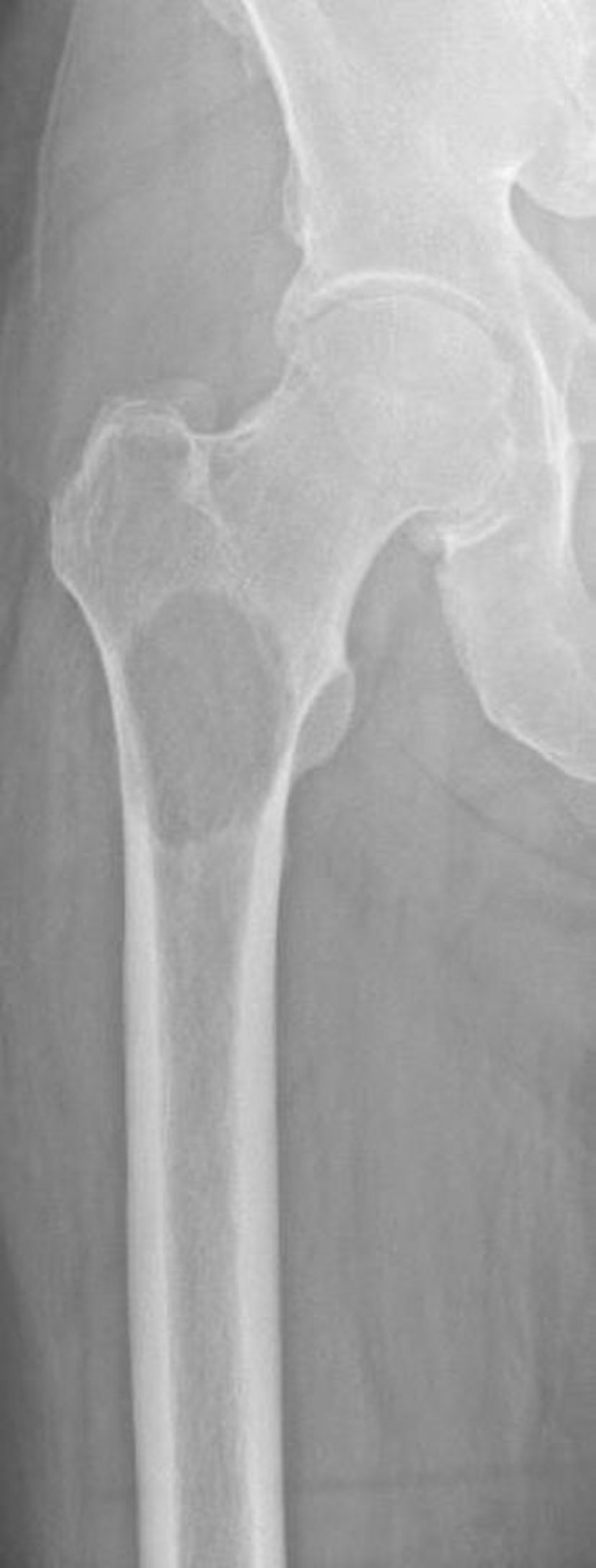
Metastasi litiche nel femore prossimale
Questa immagine mostra la distruzione ossea a causa di una metastasi secondaria al carcinoma a cellule renali nel femore prossimale. La posizione e l'estensione della distruzione ossea rendono il rischio di frattura estremamente elevato (frattura imminente).
Image courtesy of Michael J. Joyce, MD, and David M. Joyce, MD.
In questi argomenti
