Mesotelioma pleurico
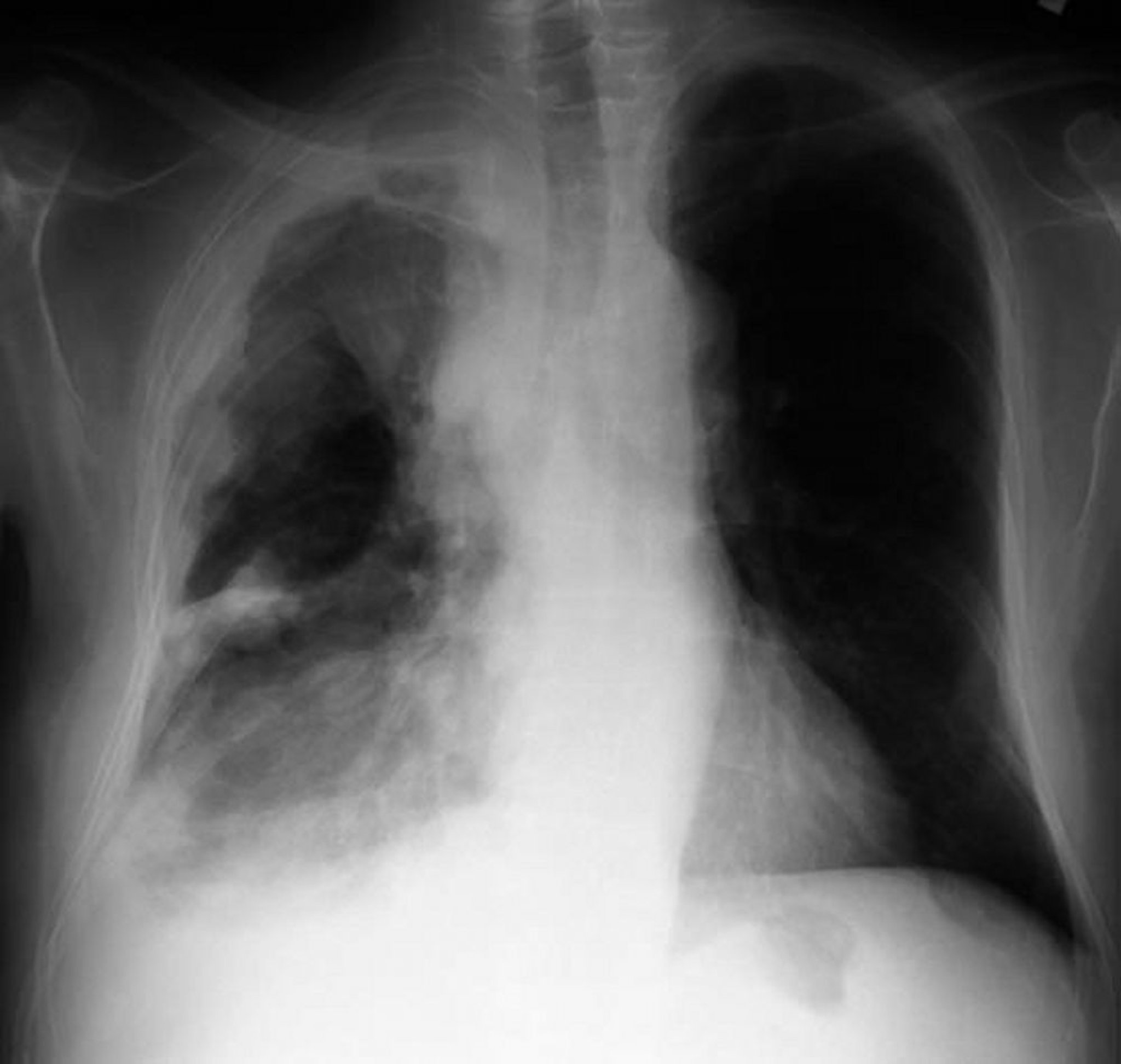
La RX torace in un paziente con mesotelioma pleurico mostra ispessimento pleurico con masse nodulari sulla pleura parietale.
By permission of the publisher. From Huggins J, Sahn S. In Bone's Atlas of Pulmonary and Critical Care Medicine. Edited by J Crapo. Philadelphia, Current Medicine, 2005.
In questi argomenti
