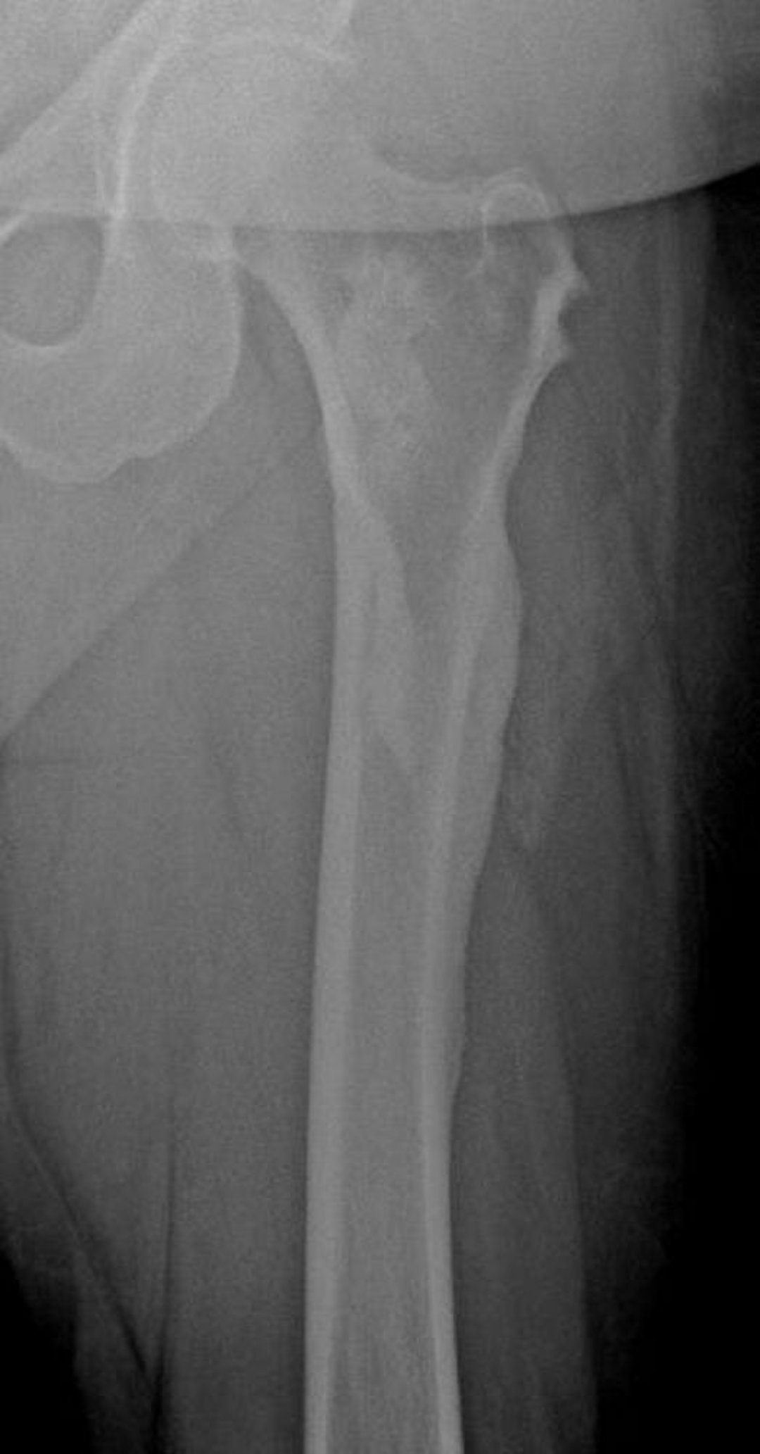
Meloreostosi (cera di candela che gocciola)
Questa RX mostra l'aspetto di "cera di candela gocciolante" della meloreostosi nel femore; è particolarmente evidente a livello della corticale femorale laterale.
Image courtesy of Michael J. Joyce, MD, and David M. Joyce, MD.
In questi argomenti
