Malattia polmonare interstiziale (TC del torace)
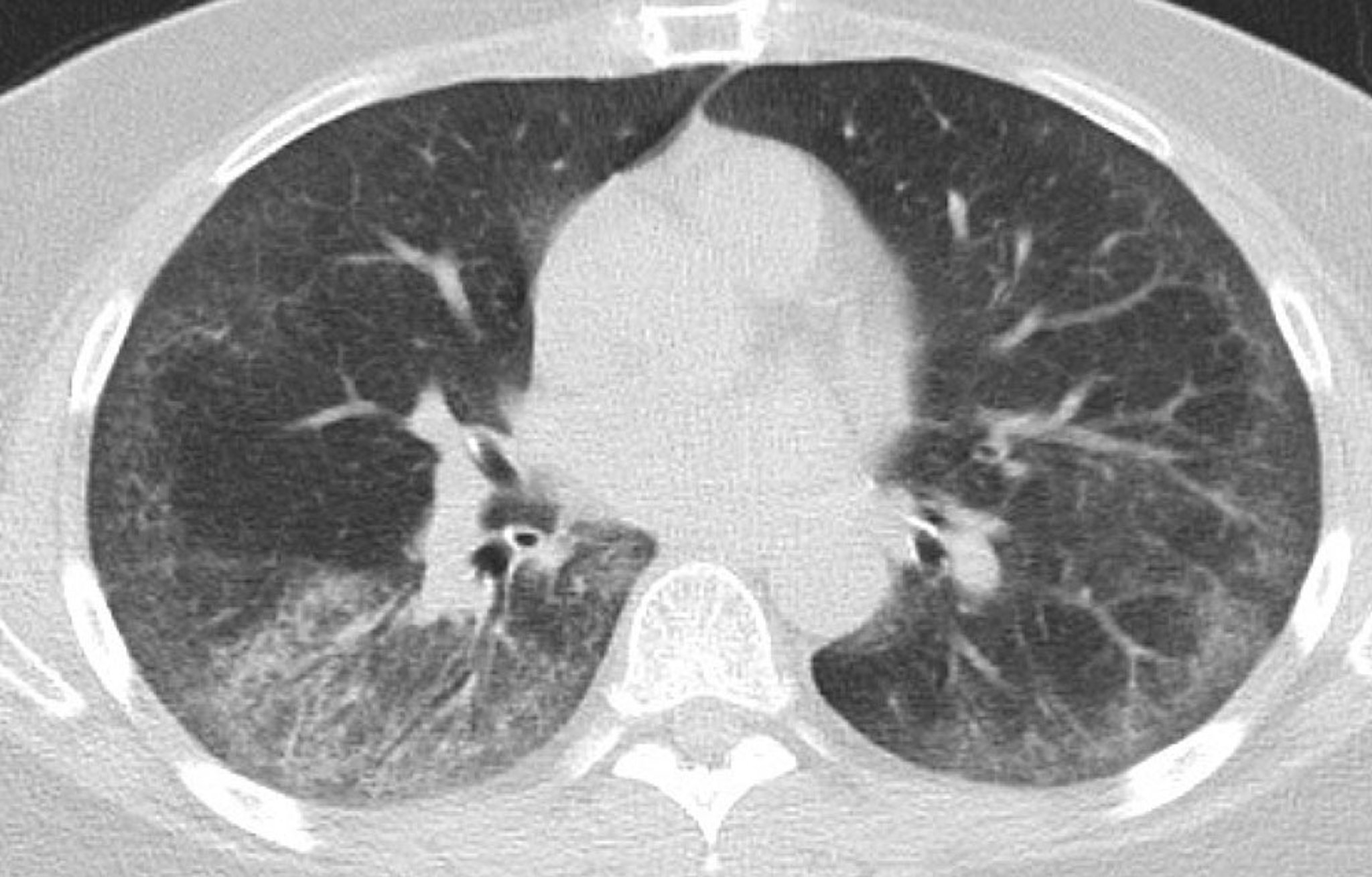
Questa scansione TC mostra opacità bilaterali simmetriche a vetro smerigliato dei lobi inferiori con aree di sottile reticolazione subpleurica; lievi bronchiectasie da trazione in entrambi i polmoni con risparmio subpleurico; e alcuni linfonodi toracici sparsi.
Photo courtesy of Kinanah Yaseen, MD.
In questi argomenti
