Lussazione perilunata
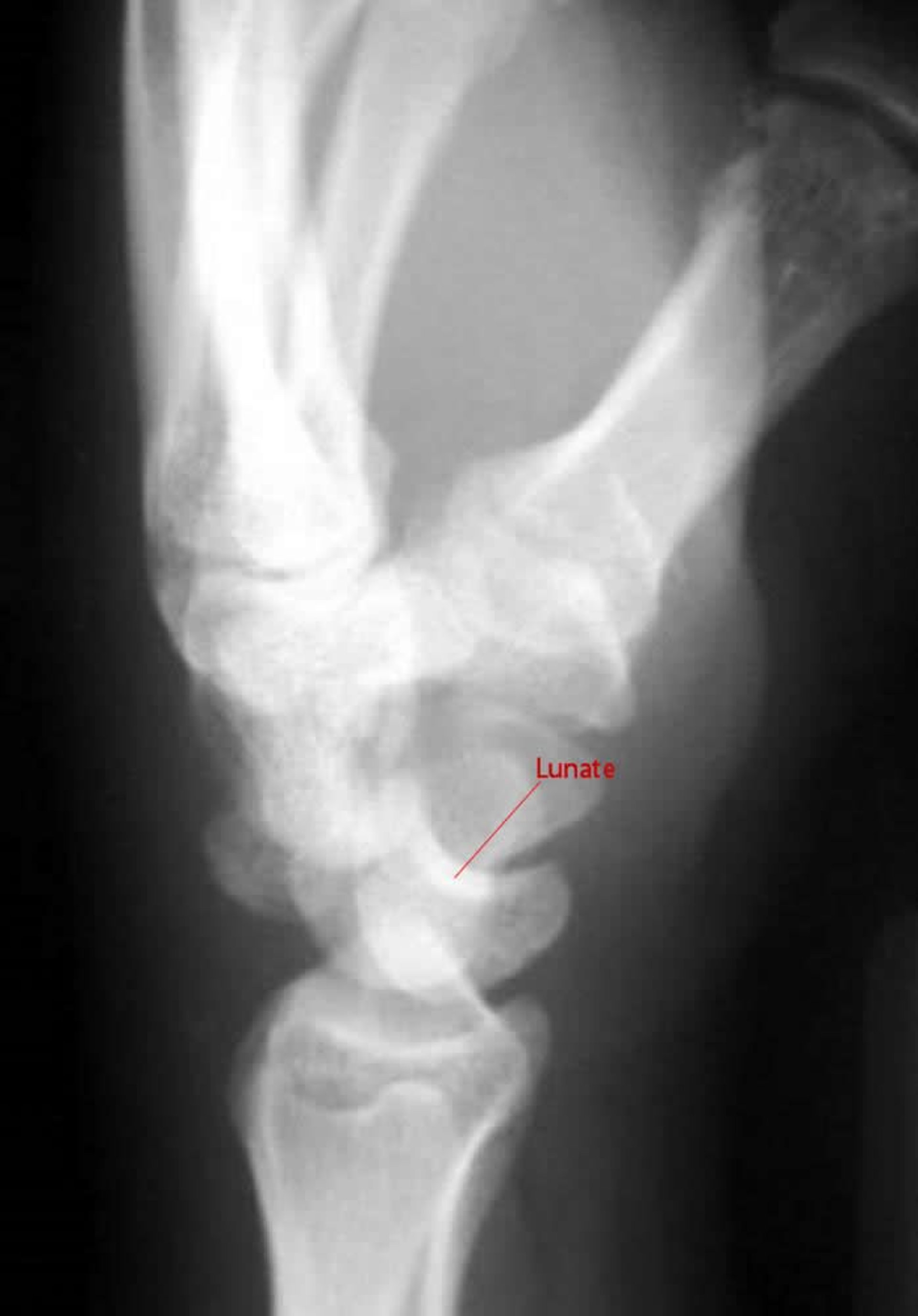
In una proiezione laterale di una lussazione perilunata, il capitato non si articola con il semilunare.
Image courtesy of Danielle Campagne, MD.
In questi argomenti
In una proiezione laterale di una lussazione perilunata, il capitato non si articola con il semilunare.
Image courtesy of Danielle Campagne, MD.