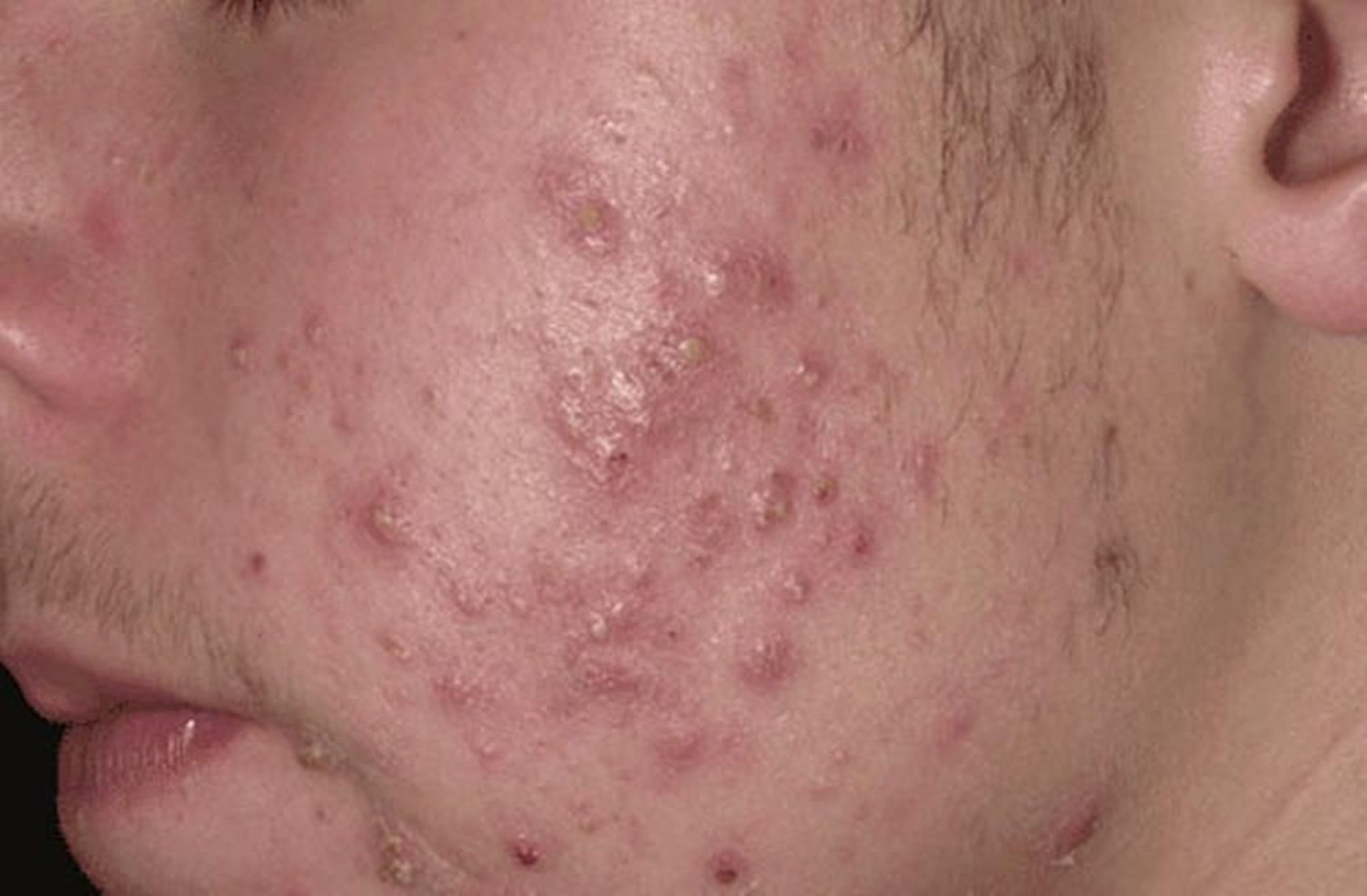
Lesione cutanea (pustola)
Le pustole sono lesioni rialzate, solitamente gialle nella parte superiore, contenenti materiale purulento. Pustole diffuse appaiono sul viso di questa persona con l'acne.
Foto fornita da Thomas Habif, MD.
In questi argomenti
