Istiocitosi polmonare a cellule di Langerhans
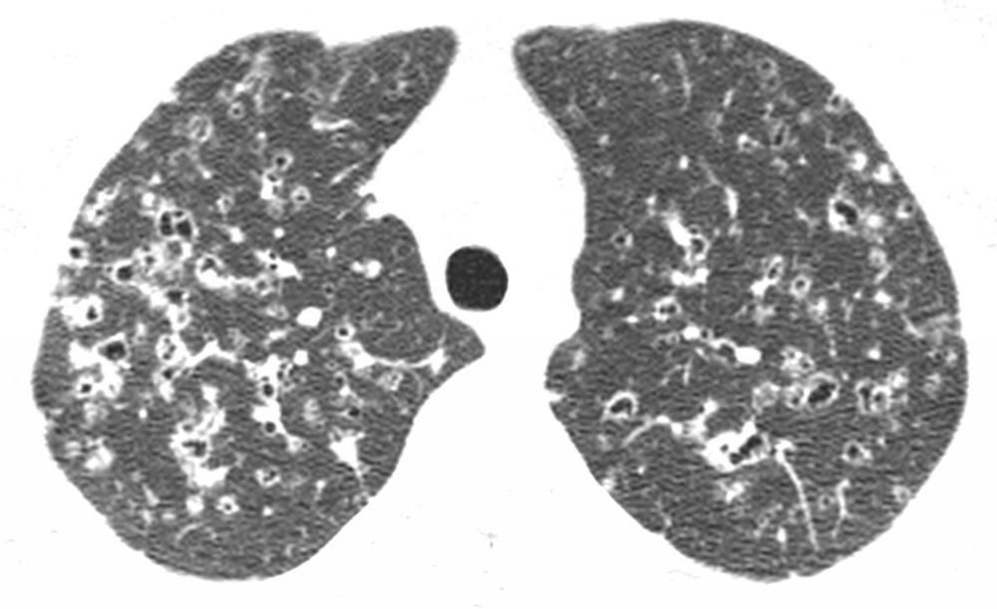
La TC ad alta risoluzione mostra noduli e cisti irregolari a densità d'aria nei lobi superiori, di solito nelle regioni superiore e medio-polmonare. Questi risultati sono caratteristici dell'istiocitosi a cellule di Langerhans in un paziente con storia di fumo.
Image courtesy of Harold R. Collard, MD.
In questi argomenti
