Ischemia mesenterica (Angio-TC)
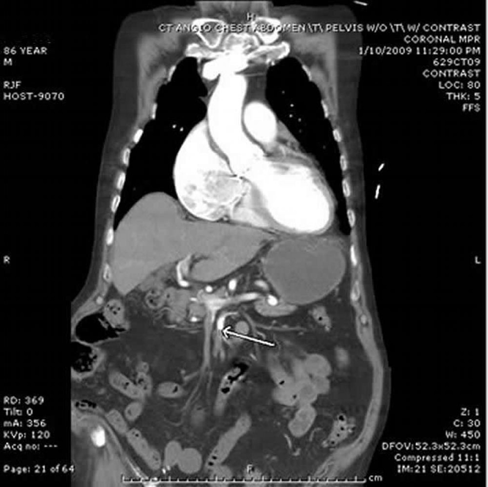
In questa imagine, la freccia indica l'arteria mesenterica superiore, che mostra una brusca interruzione del contrasto somministrato EV. Si nota un ispessimento dell'intestino tenue nell'addome sinistro. Questo caso di embolia deriva dal cuore di un paziente con fibrillazione atriale.
Image provided by Parswa Ansari, MD.
In questi argomenti
