Granulomatosi con poliangioite (lesione polmonare)
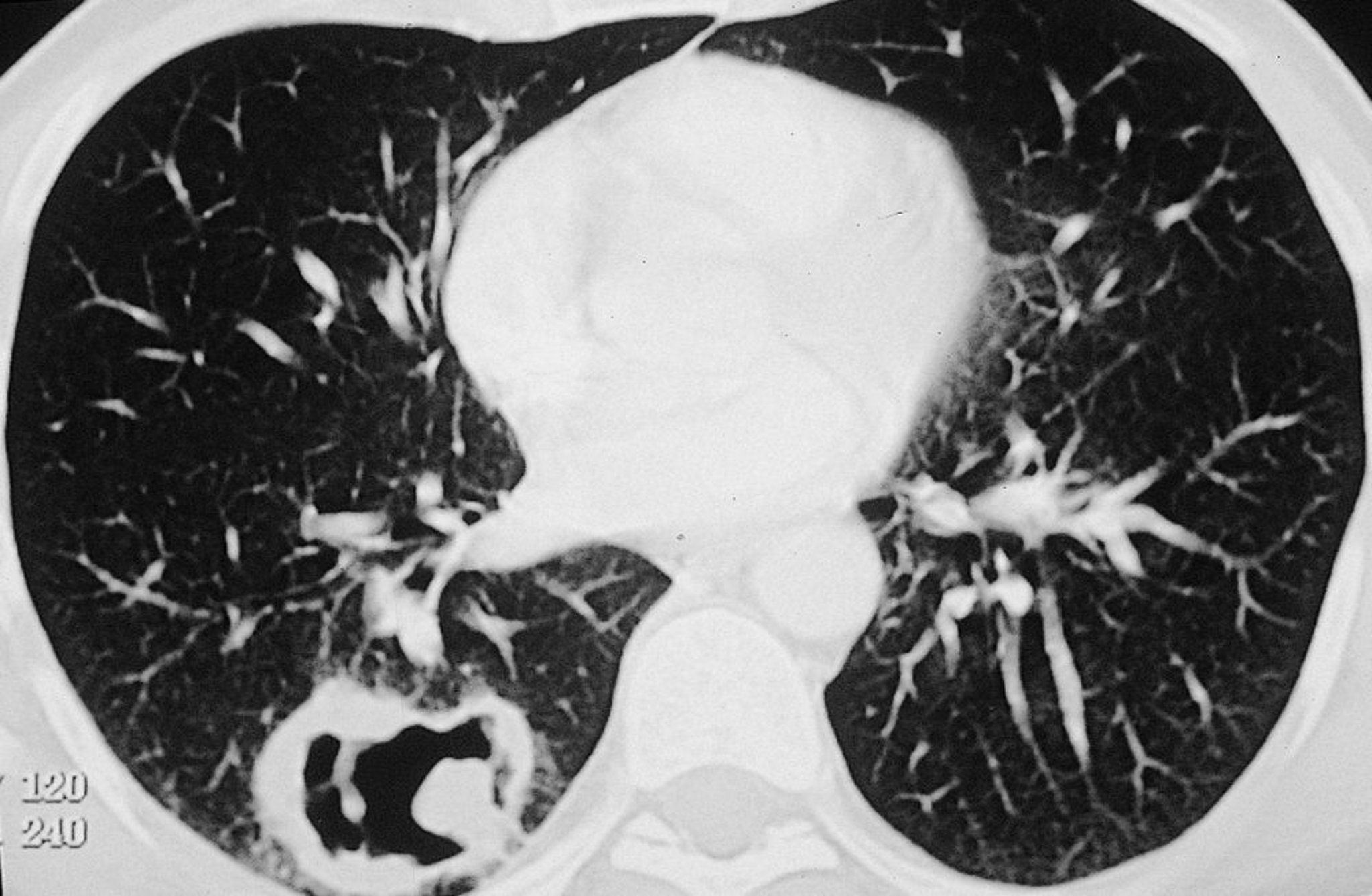
Grande lesione cavitaria nel polmone destro in un paziente con granulomatosi con poliangioite.
© Springer Science+Business Media
In questi argomenti
Grande lesione cavitaria nel polmone destro in un paziente con granulomatosi con poliangioite.
© Springer Science+Business Media