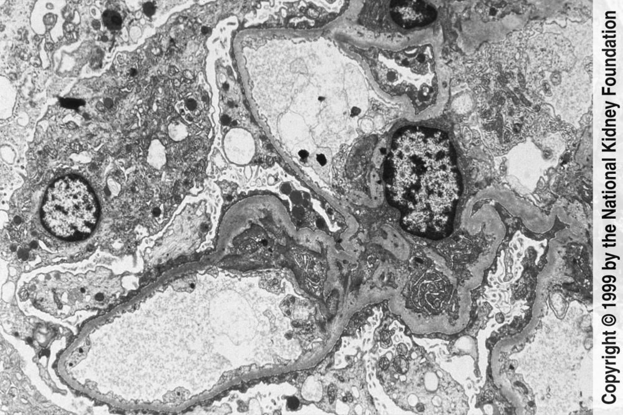
Glomerulosclerosi focale segmentale (appiattimento e scomparsa dei processi podocitari)
Alla microscopia elettronica a trasmissione possono essere osservati un esteso rigonfiamento e scomparsa dei processi podocitari (×3000).
Imagine fornita da Agnes Fogo, MD, and the American Journal of Kidney Diseases' Atlas of Renal Pathology (vedi www.ajkd.org).
In questi argomenti
