Glomerulopatia immunotattoide
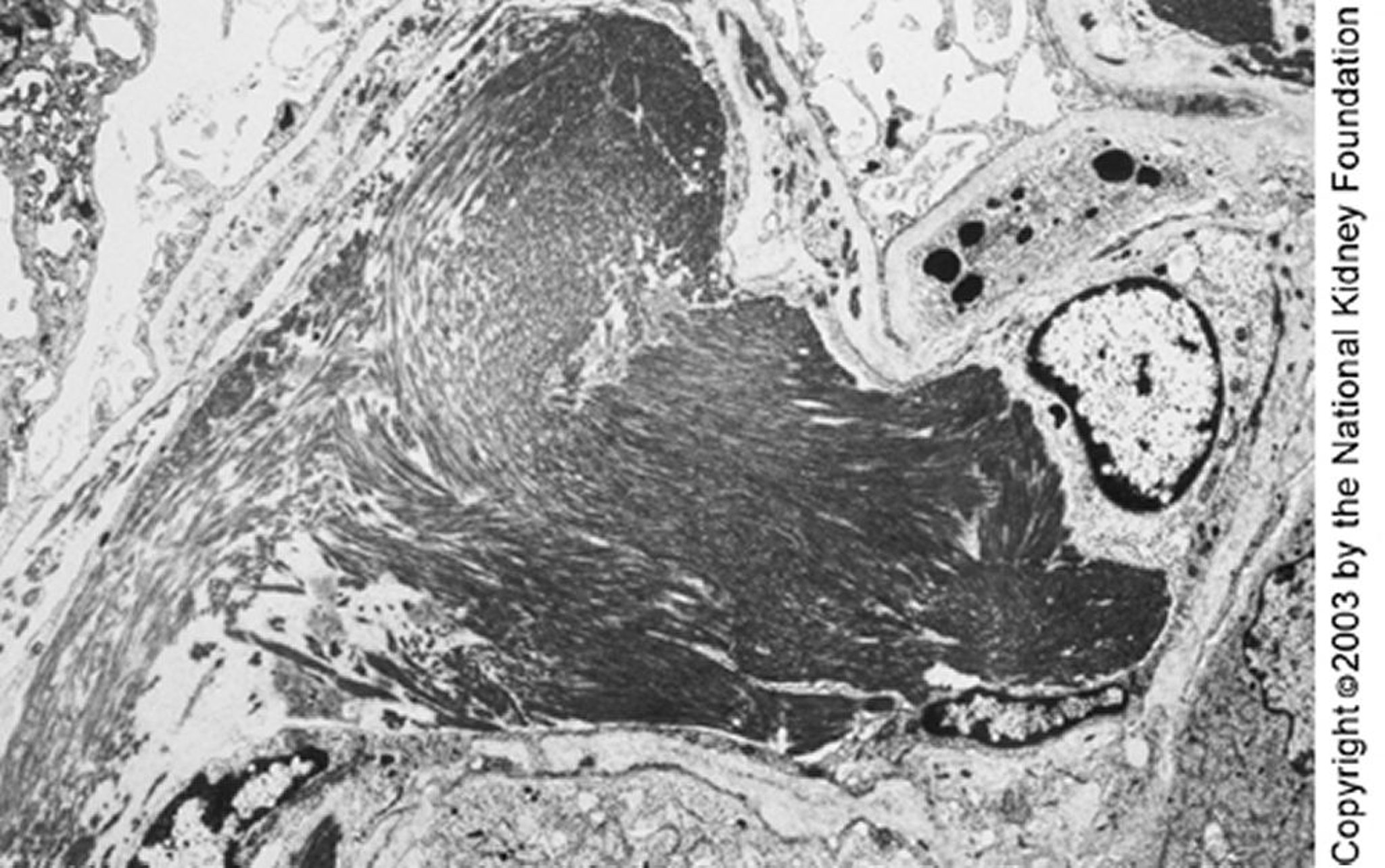
Grandi microtubuli (circa 50 nm di diametro) organizzati in matrici parallele possono essere visti alla microscopia elettronica a trasmissione. I depositi paralleli e la struttura microtubulare possono permettere di distinguere la glomerulopatia immunotattoide da quella fibrillare (×4000).
Imagine fornita da Agnes Fogo, MD, and the American Journal of Kidney Diseases' Atlas of Renal Pathology (vedi www.ajkd.org).
In questi argomenti
