Glomerulonefrite rapidamente progressiva (pauci-Immune)
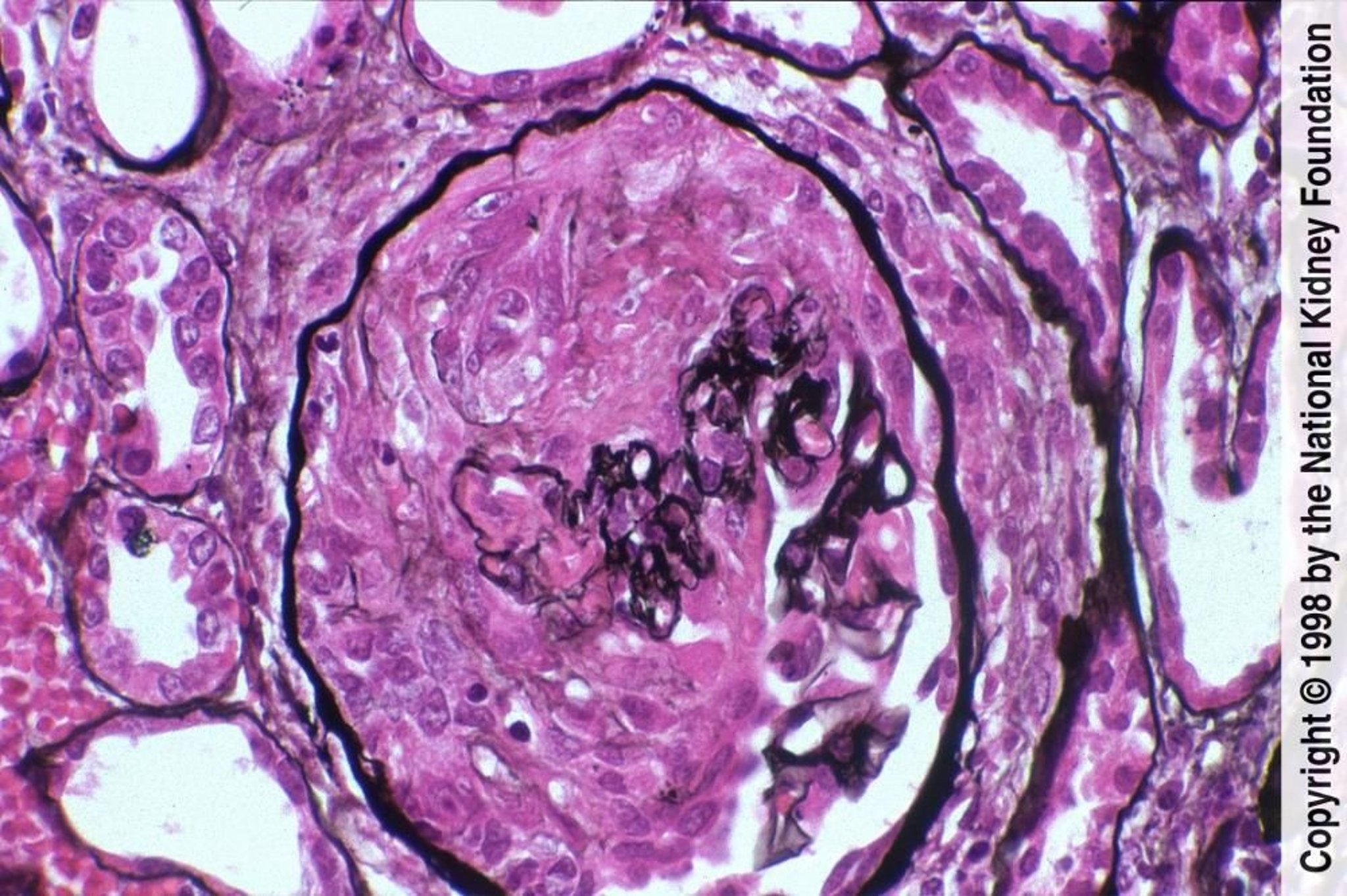
La glomerulonefrite pauci-immune è caratterizzata dalla formazione di semilune con necrosi fibrinoide e colorazione negativa in immunofluorescenza (colorazione all'argento di Jones, ×400).
Imagine fornita da Agnes Fogo, MD, and the American Journal of Kidney Diseases' Atlas of Renal Pathology (vedi www.ajkd.org).
In questi argomenti
