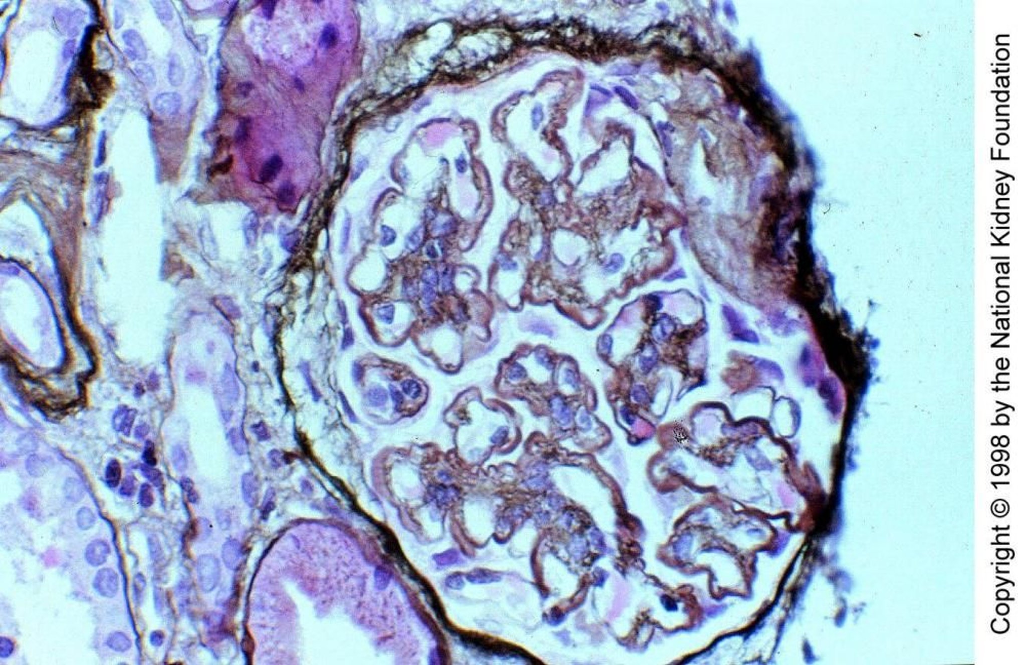
Glomerulonefrite membranoproliferativa, mediata dal complemento
Nella glomerulonefrite membranoproliferativa mediata dal complemento di tipo II, il fattore nefritico C3, un autoanticorpo IgG che funziona come la properidina clivando direttamente C3 in C3b, attiva il complemento attraverso la via alternativa all'interno delle pareti dei capillari glomerulari e del mesangio. I depositi di C3 sostituiscono parzialmente la lamina densa della membrana basale, conferendole un aspetto ispessito e caratteristico a nastro (colorazione all'argento di Jones, ×400).
Imagine fornita da Agnes Fogo, MD, and the American Journal of Kidney Diseases' Atlas of Renal Pathology (vedi www.ajkd.org).
In questi argomenti
