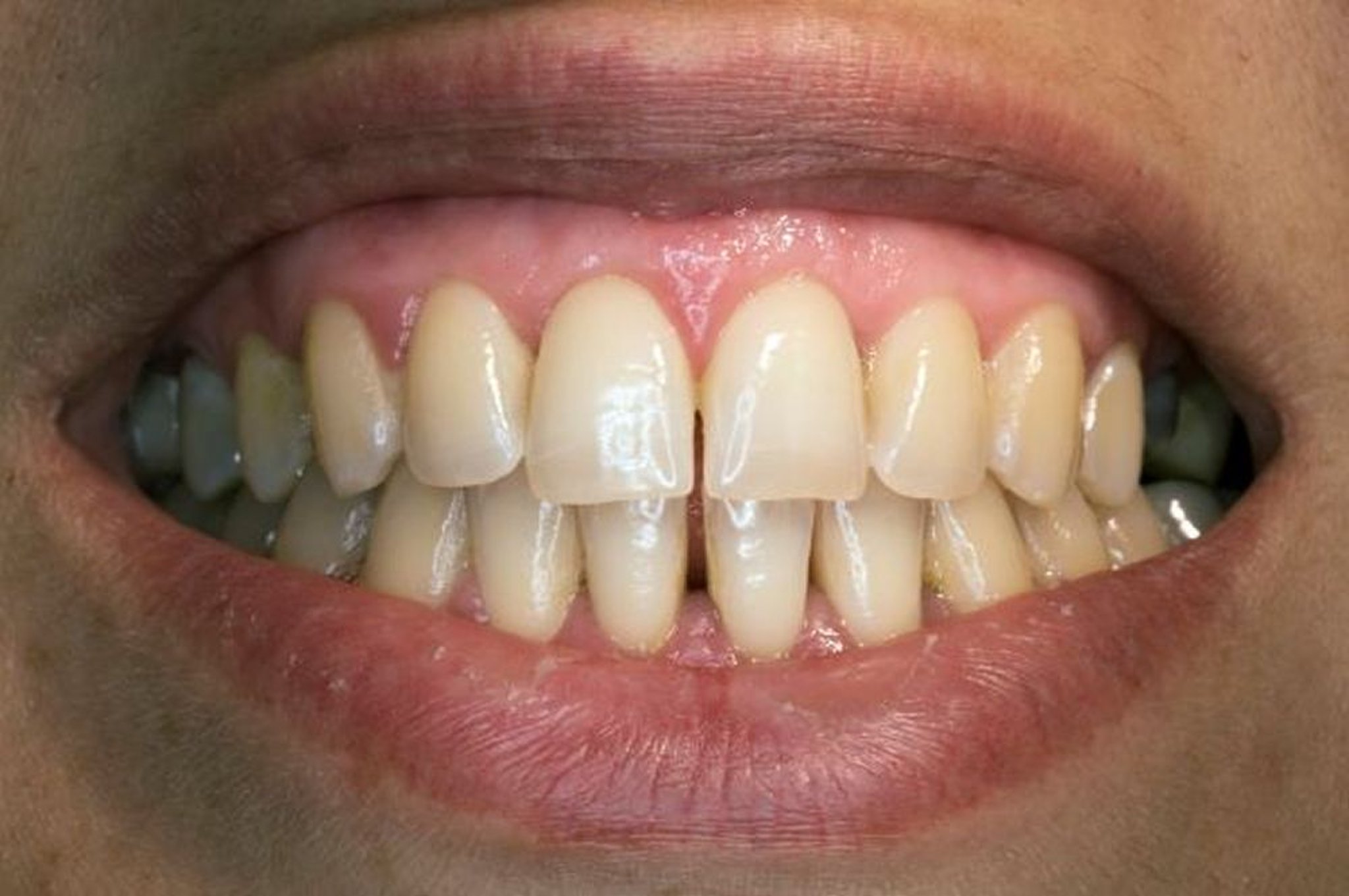
Gengive e denti relativamente sani
La bocca relativamente sana rappresentata qui mostra alcune macchie e tartaro, ma le gengive sono sane: ferme, strettamente adattate ai denti, e sagomate per formare fini papille interdentali.
DR ARMEN TARANYAN/SCIENCE PHOTO LIBRARY
In questi argomenti
