Fratture costali
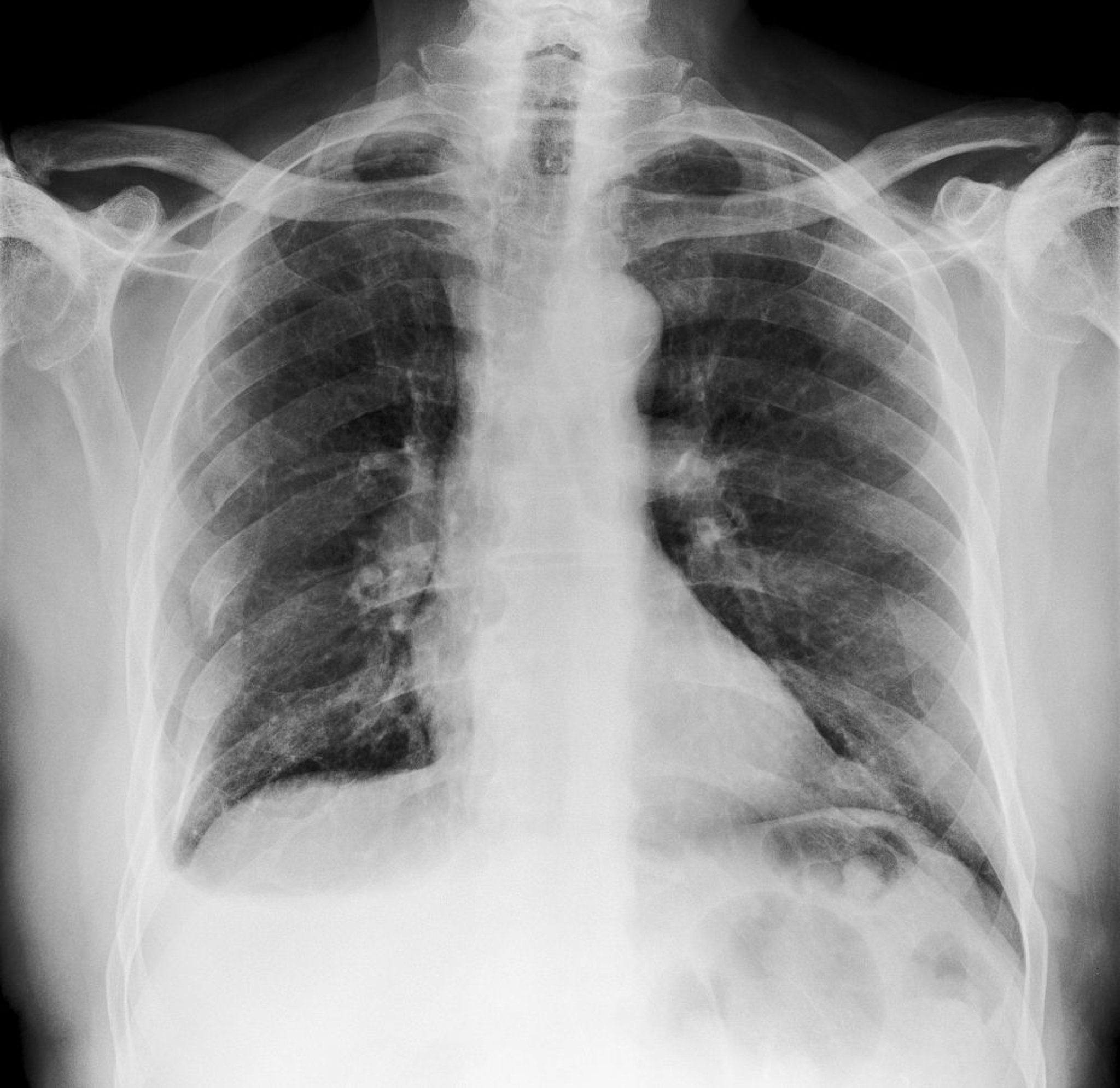
Questa radiografia del torace mostra fratture multiple alle costole destre (visibili a sinistra).
SCIENCE PHOTO LIBRARY
In questi argomenti
Questa radiografia del torace mostra fratture multiple alle costole destre (visibili a sinistra).
SCIENCE PHOTO LIBRARY